• Tel: 858.663.9055
  • SeparatorEmail: info@nsjbio.com
  • Tel: 858.663.9055
  • Email: info@nsjbio.com
Home >> Antibodies >> MSI2 Antibody / Musashi 2

MSI2 Antibody / Musashi 2 [clone RM422] (R20436)

  Catalog No Formulation Size Price (USD)  
Image R20436-0.1ML Antibody in PBS with 50% glycerol, 1% BSA and 0.09% sodium azide 100 ul 429
Microvalidated Recrabbitmono
Bulk quote request
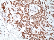
IHC staining of FFPE human esophageal squamous carcinoma tissue with recombinant MSI2 antibody at 1:100.
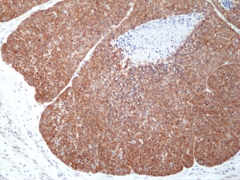
IHC staining of FFPE human breast ductal carcinoma tissue with recombinant MSI2 antibody at 1:400.
Western blot testing of mouse brain tissue lysate with recombinant MSI2 antibody at 1:2000 dilution. Predicted molecular weight ~35 kDa.
Availability 1-3 business days
Species Reactivity Human, Mouse
Format Purified
Clonality Recombinant Rabbit Monoclonal
Isotype Rabbit IgG
Clone Name RM422
Purity Protein A purified from animal origin-free supernatant
UniProt Q96DH6
Localization Cytoplasmic
Applications Immunohistochemistry (FFPE) : 1:100-1:400
Western Blot : 1:1000-1:2000
Limitations This recombinant MSI2 antibody is available for research use only.
Review this product on BioCompare and get a $20 Amazon gift card

Related Products

  • Applications : WB, ELISA (peptide)
    Reactivity : Human, Mouse
    Pred. Reactivity : Dog
  • Applications : WB, ELISA (peptide)
    Reactivity : Human, Mouse
    Pred. Reactivity : Cow

Description

This antibody reacts to human RNA-binding protein Musashi homolog 2 (Musashi 2).

Application Notes

The stated application concentrations are suggested starting points. Titration of the recombinant MSI2 antibody may be required due to differences in protocols and secondary/substrate sensitivity.

Immunogen

A peptide corresponding to the internal region of human Musashi 2 was used as the immunogen for the recombinant MSI2 antibody.

Storage

Store the recombinant MSI2 antibody at -20oC.

Cross
Bulk Quote Request Form
Name*:
Organization*:
Email*:
Phone Number*:
Catalog No.*:
Comments and Specifics(amount, formulation, etc.)*:
Validation code: Captchapackage Image


Can't read the image? click here to refresh.
    *required field

Your bulk quote request has been submitted successfully!

Please contact us if you have any questions.