• Tel: 858.663.9055
  • SeparatorEmail: info@nsjbio.com
  • Tel: 858.663.9055
  • Email: info@nsjbio.com
Home >> Antibodies >> Msi1 Antibody / Musashi 1

Msi1 Antibody / Musashi 1 [clone 2B9] (RQ5670)

  Catalog No Formulation Size Price (USD)  
Image RQ5670 0.5mg/ml if reconstituted with 0.2ml sterile DI water 100 ug 439
Bulk quote request
Immunofluorescent staining of FFPE human MCF7 cells with Msi1 antibody (green) and DAPI nuclear stain (blue). HIER: steam section in pH6 citrate buffer for 20 min.
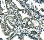
IHC staining of FFPE human lung cancer with Msi1 antibody. HIER: boil tissue sections in pH8 EDTA for 20 min and allow to cool before testing.
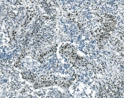
IHC staining of FFPE human rectum cancer with Msi1 antibody. HIER: boil tissue sections in pH8 EDTA for 20 min and allow to cool before testing.
Western blot testing of human 1) A549 and 2) PC-3 lysate with Msi1 antibody. Predicted molecular weight ~39 kDa.
Availability 1-3 business days
Species Reactivity Human, Mouse, Rat
Format Antigen affinity purified
Clonality Monoclonal
Isotype Mouse IgG2b
Clone Name 2B9
Purity Affinity purified
Buffer Lyophilized from 1X PBS with 2% Trehalose and 0.025% sodium azide
UniProt O43347
Localization Nuclear, cytoplasmic
Applications Western Blot : 0.5-1ug/ml
Immunohistochemistry : 1-2ug/ml
Immunofluorescence : 2-4ug/ml
Limitations This Msi1 antibody is available for research use only.
Review this product on BioCompare and get a $20 Amazon gift card

Related Products

Description

RNA-binding protein Musashi homolog 1 is a protein that in humans is encoded by the MSI1 gene. This gene encodes a protein containing two conserved tandem RNA recognition motifs. Similar proteins in other species function as RNA-binding proteins and play central roles in posttranscriptional gene regulation. Expression of this gene has been correlated with the grade of the malignancy and proliferative activity in gliomas and melanomas. A pseudogene for this gene is located on chromosome 11q13.

Application Notes

Optimal dilution of the Msi1 antibody should be determined by the researcher.

Immunogen

Amino acids KMFIGGLSWQTTQEGLREYFGQFGEVKECLVMRD from the human protein were used as the immunogen for the Msi1 antibody.

Storage

After reconstitution, the Msi1 antibody can be stored for up to one month at 4oC. For long-term, aliquot and store at -20oC. Avoid repeated freezing and thawing.

Cross
Bulk Quote Request Form
Name*:
Organization*:
Email*:
Phone Number*:
Catalog No.*:
Comments and Specifics(amount, formulation, etc.)*:
Validation code: Captchapackage Image


Can't read the image? click here to refresh.
    *required field

Your bulk quote request has been submitted successfully!

Please contact us if you have any questions.