• Tel: 858.663.9055
  • SeparatorEmail: info@nsjbio.com
  • Tel: 858.663.9055
  • Email: info@nsjbio.com
Home >> Antibodies >> MRG15 Antibody

MRG15 Antibody (R33154)

  Catalog No Formulation Size Price (USD)  
Image R33154-100UG 0.5 mg/ml in 1X TBS, pH7.3, with 0.5% BSA (US sourced) and 0.02% sodium azide 100 ug 449
Bulk quote request
Western blot testing of mouse liver lysate with MRG15 antibody at 0.1ug/ml. Predicted molecular weight: ~41/37 kDa (isoforms 1/2).
Western blot testing of A) mouse NIH3T3 and B) human HepG2 lysate (nuclear fraction) with MRG15 antibody at 0.1ug/ml. Predicted molecular weight: ~41/37 kDa (isoforms 1/2).
Western blot testing of liver lysate from A) mouse, B) rat and C) pig with MRG15 antibody at 0.1ug/ml. Predicted molecular weight: ~41/37 kDa (isoforms 1/2).
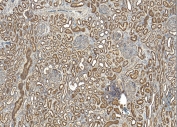
IHC staining of FFPE human kidney tissue with MRG15 antibody at 5ug/ml. Required HIER: steamed antigen retrieval with pH6 citrate buffer; HRP-staining.
Negative control: IHC staining of FFPE human kidney tissue with no primary antibody. Required HIER: steamed antigen retrieval with pH6 citrate buffer; HRP-staining.
Availability 1-3 business days
Species Reactivity Human, Mouse
Predicted Reactivity Rat, Pig, Cow
Format Antigen affinity purified
Clonality Polyclonal (goat origin)
Isotype Goat Ig
Purity Antigen affinity
UniProt Q9UBU8
Gene ID 10933
Applications Western Blot : 0.1-0.3ug/ml
Immunohistochemistry (FFPE) : 5ug/ml
ELISA (peptide) LOD : 1:128000
Limitations This MRG15 antibody is available for research use only.
Review this product on BioCompare and get a $20 Amazon gift card

Related Products

  • Applications : WB, ELISA (peptide)
    Reactivity : Human, Mouse
    Pred. Reactivity : Rat, Pig, Cow

Description

Additional name(s) for this target protein: MORF-related gene 15; MORF4L1

Application Notes

Optimal dilution of the MRG15 antibody should be determined by the researcher.

Immunogen

Amino acids APKQDPKPKFQEG were used as the immunogen for this MRG15 antibody.

Storage

Aliquot and store the MRG15 antibody at -20oC.

Cross
Bulk Quote Request Form
Name*:
Organization*:
Email*:
Phone Number*:
Catalog No.*:
Comments and Specifics(amount, formulation, etc.)*:
Validation code: Captchapackage Image


Can't read the image? click here to refresh.
    *required field

Your bulk quote request has been submitted successfully!

Please contact us if you have any questions.