• Tel: 858.663.9055
  • SeparatorEmail: info@nsjbio.com
  • Tel: 858.663.9055
  • Email: info@nsjbio.com
Home >> Antibodies >> MPO Antibody / Myeloperoxidase

MPO Antibody / Myeloperoxidase (V9351)

  Catalog No Formulation Size Price (USD)  
Image V9351-100UG 0.2 mg/ml in 1X PBS with 0.1 mg/ml BSA (US sourced), 0.05% sodium azide 100 ug 539
Image
V9351-20UG 0.2 mg/ml in 1X PBS with 0.1 mg/ml BSA (US sourced), 0.05% sodium azide 20 ug 249
Image
V9351SAF-100UG 1 mg/ml in 1X PBS; BSA free, sodium azide free 100 ug 539
Bulk quote request
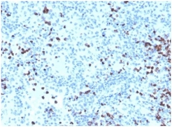
IHC staining of FFPE human spleen tissue with Myeloperoxidase antibody. HIER: boil tissue sections in pH 9 10mM Tris with 1mM EDTA for 20 min and allow to cool before testing.
IHC staining of FFPE human spleen tissue with Myeloperoxidase antibody. HIER: boil tissue sections in pH 9 10mM Tris with 1mM EDTA for 20 min and allow to cool before testing.
Western blot testing of human spleen lysate using Myeloperoxidase antibody. Expected molecular weight: 59-64 kDa (alpha chain, may be observed at higher molecular weights due to glycosylation), 150+ kDa (glycosylated mature form).
Availability 1-3 business days
Species Reactivity Human
Format Purified
Clonality Polyclonal (rabbit origin)
Isotype Rabbit IgG, kappa
Purity Protein A/G affinity
UniProt P05164
Localization Cytoplasmic
Applications Western Blot : 2-4ug/ml
Immunohistochemistry (FFPE) : 1-2ug/ml
Limitations This Myeloperoxidase antibody is available for research use only.
Review this product on BioCompare and get a $20 Amazon gift card

Related Products

Description

The heme protein myeloperoxidase (MPO) is a major component of azurophilicgranules of neutrophils and polymorphonuclear leukocytes. Optimal oxygen-dependent microbiocidal activity depends on MPO as the critical enzyme forthe generation of hypochlorous acid and other toxic oxygen products. TheMPO precursor is synthesized during the promyelocytic stage of myeloid dif-ferentiation and is subsequently processed and transported intracellularly tothe lysosomes. The precursor undergoes cotranslational N-linked glycosyla-tion to produce a glycoprotein. Glucosidases in the endoplasmic reticulum(ER) or early cisGolgi convert the pro-MPO to a form which is sorted into aprelysosomal compartment, which undergoes final proteolytic maturation tonative MPO, a pair of heavy-light protomers. In normal neutrophils, MPO isexpressed as a dimer. Calreticulin, a calcium-binding protein residing in theER, interacts specifically with fully glycosylated apopro-MPO. iMPO mRNA isabundant in human promyelocytic HL-60 and mouse myeloid leukemia NFS-60cells. MPO is expressed at high levels in circulating neutrophils and mono-cytes but is not detectable in microglia, brain-specific macrophages or normalbrain tissue.MPO, which has a molecular weight of approximately 140 kD, is homodimer that can be split into two halves that still have enzymatic activity. These hemi-MPOmonomersconsist of a 59-kD alpha chainand a 13.5-kD beta chain.

Application Notes

Optimal dilution of the Myeloperoxidase antibody should be determined by the researcher.

Immunogen

A portion of amino acids 150-250 of human Myeloperoxidase protein was used as the immunogen for the Myeloperoxidase antibody.

Storage

Aliquot the Myeloperoxidase antibody and store frozen at -20oC or colder. Avoid repeated freeze-thaw cycles.

Cross
Bulk Quote Request Form
Name*:
Organization*:
Email*:
Phone Number*:
Catalog No.*:
Comments and Specifics(amount, formulation, etc.)*:
Validation code: Captchapackage Image


Can't read the image? click here to refresh.
    *required field

Your bulk quote request has been submitted successfully!

Please contact us if you have any questions.