• Tel: 858.663.9055
  • SeparatorEmail: info@nsjbio.com
  • Tel: 858.663.9055
  • Email: info@nsjbio.com
Home >> Antibodies >> MOV10 Antibody

MOV10 Antibody (RQ6657)

  Catalog No Formulation Size Price (USD)  
Image RQ6657 0.5mg/ml if reconstituted with 0.2ml sterile DI water 100 ug 439
Bulk quote request
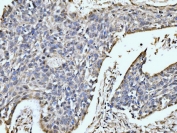
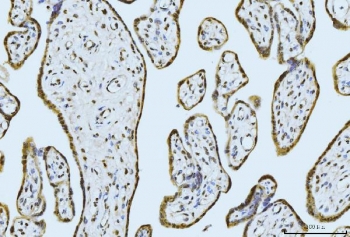
IHC staining of FFPE human placental tissue with MOV10 antibody. HIER: boil tissue sections in pH8 EDTA for 20 min and allow to cool before testing.
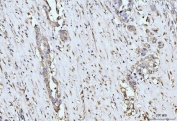
IHC staining of FFPE human gall bladder adenosquamous carcinoma tissue with MOV10 antibody. HIER: boil tissue sections in pH8 EDTA for 20 min and allow to cool before testing.
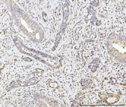
IHC staining of FFPE human appendiceal adenocarcinoma tissue with MOV10 antibody. HIER: boil tissue sections in pH8 EDTA for 20 min and allow to cool before testing.
IHC staining of FFPE human esophageal squamous carcinoma tissue with MOV10 antibody. HIER: boil tissue sections in pH8 EDTA for 20 min and allow to cool before testing.
IHC staining of FFPE human gastric adenocarcinoma tissue with MOV10 antibody. HIER: boil tissue sections in pH8 EDTA for 20 min and allow to cool before testing.
Immunofluorescent staining of FFPE human MCF7 cells with MOV10 antibody (red) and DAPI nuclear stain (blue). HIER: steam section in pH6 citrate buffer for 20 min.
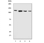
Western blot testing of human 1) HeLa, 2) 293T, 3) HepG2 and 4) Jurkat cell lysate with MOV10 antibody. Predicted molecular weight ~114 kDa.
Flow cytometry testing of human HeLa cells with MOV10 antibody at 1ug/million cells (blocked with goat sera); Red=cells alone, Green=isotype control, Blue= MOV10 antibody.
Availability 1-3 business days
Species Reactivity Human
Format Antigen affinity purified
Clonality Polyclonal (rabbit origin)
Isotype Rabbit IgG
Purity Antigen affinity purified
Buffer Lyophilized from 1X PBS with 2% Trehalose
UniProt Q9HCE1
Localization Cytoplasmic, nuclear
Applications Western Blot : 1-2ug/ml
Immunohistochemistry (FFPE) : 2-5ug/ml
Immunofluorescence (FFPE) : 5ug/ml
Flow Cytometry : 1-3ug/million cells
Direct ELISA : 0.1-0.5ug/ml
Limitations This MOV10 antibody is available for research use only.
Review this product on BioCompare and get a $20 Amazon gift card

Description

Putative helicase MOV-10 is an enzyme that in humans is encoded by the MOV10 gene. MOV10, also named as KIAA1631, belongs to the DNA2/NAM7 helicase family and SDE3 subfamily. It is required for RNA-mediated gene silencing by the RNA-induced silencing complex (RISC). Human MOV10 may regulate a wide range of RNA viruses and could also control the retro-transposition of endogenous retroelements in mammals. MOV10 has a broad antiretroviral activity that can target a wide range of retroviruses, and it could be actively involved in host defense against retroviral infection. MOV10 can potently inhibit HIV-1 replication at multiple stages. It is involved in the progression of telomerase-catalyzing reaction via the interaction of telomerase protein and telomere DNA.

Application Notes

Optimal dilution of the MOV10 antibody should be determined by the researcher.

Immunogen

Recombinant human protein (amino acids H167-Q772) was used as the immunogen for the MOV10 antibody.

Storage

After reconstitution, the MOV10 antibody can be stored for up to one month at 4oC. For long-term, aliquot and store at -20oC. Avoid repeated freezing and thawing.

Cross
Bulk Quote Request Form
Name*:
Organization*:
Email*:
Phone Number*:
Catalog No.*:
Comments and Specifics(amount, formulation, etc.)*:
Validation code: Captchapackage Image


Can't read the image? click here to refresh.
    *required field

Your bulk quote request has been submitted successfully!

Please contact us if you have any questions.