• Tel: 858.663.9055
  • SeparatorEmail: info@nsjbio.com
  • Tel: 858.663.9055
  • Email: info@nsjbio.com
Home >> Antibodies >> MOSPD2 Antibody / Motile sperm domain-containing protein 2

MOSPD2 Antibody / Motile sperm domain-containing protein 2 (RQ8572)

  Catalog No Formulation Size Price (USD)  
Image RQ8572 0.5mg/ml if reconstituted with 0.2ml sterile DI water 100 ug 439
Bulk quote request
IHC staining of FFPE human testicular germ cell tumor tissue with MOSPD2 antibody. HIER: boil tissue sections in pH8 EDTA for 20 min and allow to cool before testing.
IHC staining of FFPE human colorectal adenocarcinoma tissue with MOSPD2 antibody. HIER: boil tissue sections in pH8 EDTA for 20 min and allow to cool before testing.
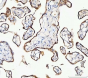
IHC staining of FFPE human placental tissue with MOSPD2 antibody. HIER: boil tissue sections in pH8 EDTA for 20 min and allow to cool before testing.
IHC staining of FFPE human brain tissue with MOSPD2 antibody. HIER: boil tissue sections in pH8 EDTA for 20 min and allow to cool before testing.
IHC staining of FFPE mouse brain tissue with MOSPD2 antibody. HIER: boil tissue sections in pH8 EDTA for 20 min and allow to cool before testing.
IHC staining of FFPE rat brain tissue with MOSPD2 antibody. HIER: boil tissue sections in pH8 EDTA for 20 min and allow to cool before testing.
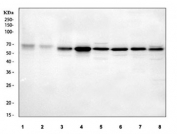
Western blot testing of 1) human SiHa, 2) human U-251, 3) rat C6, 4) rat RH35, 5) rat PC-12, 6) mouse Neuro-2a, 7) mouse HEPA1-6 and 8) mouse RAW264.7 cell lysate with MOSPD2 antibody. Predicted molecular weight ~60 kDa.
Flow cytometry testing of fixed and permeabilized human HeLa cells with MOSPD2 antibody at 1ug/million cells (blocked with goat sera); Red=cells alone, Green=isotype control, Blue= MOSPD2 antibody.
Flow cytometry testing of fixed and permeabilized human Caco-2 cells with MOSPD2 antibody at 1ug/million cells (blocked with goat sera); Red=cells alone, Green=isotype control, Blue= MOSPD2 antibody.
Availability 1-3 days
Species Reactivity Human, Mouse, Rat
Format Antigen affinity purified
Clonality Polyclonal (rabbit origin)
Isotype Rabbit IgG
Purity Antigen affinity purified
Buffer Lyophilized from 1X PBS with 2% Trehalose
UniProt Q8NHP6
Localization Cytoplasm
Applications Western Blot : 0.5-1ug/ml
Immunohistochemistry (FFPE) : 2-5ug/ml
Flow Cytometry : 1-3ug/million cells
ELISA : 0.1-0.5ug/ml
Limitations This MOSPD2 antibody is available for research use only.
Review this product on BioCompare and get a $20 Amazon gift card

Description

MOSPD2 (motile sperm domain-containing protein 2) is a 518 amino acid single-pass membrane protein that contains one CRAL-TRIO domain and a single MSP domain. Existing as two alternatively spliced isoforms, MOSPD2 is encoded by a gene that maps to human chromosome Xp22.2. The X and Y chromosomes are the human sex chromosomes. Chromosome X consists of about 153 million base pairs and nearly 1,000 genes. The combination of an X and Y chromosome lead to normal male development while two copies of X lead to normal female development. There are a number of conditions related to an unusual number and combination of sex chromosomes being inherited, including Turner�s syndrome, Klinefelter�s syndrome and triple X syndrome. Color blindness, hemophilia, and Duchenne muscular dystrophy are well known X chromosome-linked conditions which affect males more frequently as males carry a single X chromosome.

Application Notes

Optimal dilution of the MOSPD2 antibody should be determined by the researcher.

Immunogen

An E.coli-derived human recombinant protein (amino acids R111-Q496) was used as the immunogen for the MOSPD2 antibody.

Storage

After reconstitution, the MOSPD2 antibody can be stored for up to one month at 4oC. For long-term, aliquot and store at -20oC. Avoid repeated freezing and thawing.

Cross
Bulk Quote Request Form
Name*:
Organization*:
Email*:
Phone Number*:
Catalog No.*:
Comments and Specifics(amount, formulation, etc.)*:
Validation code: Captchapackage Image


Can't read the image? click here to refresh.
    *required field

Your bulk quote request has been submitted successfully!

Please contact us if you have any questions.