• Tel: 858.663.9055
  • SeparatorEmail: info@nsjbio.com
  • Tel: 858.663.9055
  • Email: info@nsjbio.com
Home >> Antibodies >> Monoglyceride lipase Antibody / MGLL

Monoglyceride lipase Antibody / MGLL (R35221)

  Catalog No Formulation Size Price (USD)  
Image R35221-100UG 0.5 mg/ml in 1X TBS, pH7.3, with 0.5% BSA (US sourced) and 0.02% sodium azide 100 ug 449
Bulk quote request
Immunofluorescent staining of fixed and permeabilized human U-2 OS cells with Monoglyceride lipase antibody (green) at 10ug/ml, Phalloidin (red) and DAPI nuclear stain (blue).
Immunofluorescent staining of fixed and permeabilized human A431 cells with Monoglyceride lipase antibody (green) at 10ug/ml and DAPI nuclear stain (blue).
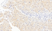
IHC staining of FFPE human liver tissue with Monoglyceride lipase antibody at 5ug/ml. Required HIER: steamed antigen retrieval with pH6 citrate buffer; HRP-staining.
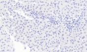
Negative control: IHC staining of FFPE human liver tissue without primary antibody. Required HIER: steamed antigen retrieval with pH6 citrate buffer; HRP-staining.
Western blot of mouse adipose lysate with Monoglyceride lipase antibody at 0.5ug/ml. Predicted molecular weight: ~33 kDa.
FACS testing of fixed and permeabilized human A431 cells with Monoglyceride lipase antibody (blue) at 1ug/million cells/0.1ml and naive goat Ig (black).
Availability 1-3 business days
Species Reactivity Human, Mouse
Predicted Reactivity Rat, Dog, Pig, Cow
Format Antigen affinity purified
Clonality Polyclonal (goat origin)
Isotype Goat Ig
Purity Antigen affinity
UniProt Q99685
Gene ID 11343
Applications Western Blot : 0.5-2ug/ml
Immunohistochemistry (FFPE) : 5ug/ml
Immunofluorescence : 10ug/ml
Flow Cytometry : 1ug/million cells in 0.1ml
ELISA (peptide) LOD : 1:64000
Limitations This Monoglyceride lipase antibody is available for research use only.
Review this product on BioCompare and get a $20 Amazon gift card

Description

Monoglyceride lipase / MGLL is a key enzyme involved in the hydrolysis of monoacylglycerols, which are the building blocks of various lipids in the body. By breaking down these molecules, Monoglyceride lipase helps regulate lipid metabolism and plays a crucial role in energy balance and homeostasis. Studies have shown that Monoglyceride lipase deficiency can lead to disruptions in lipid metabolism, leading to conditions such as obesity, insulin resistance, and metabolic syndrome. And overexpression of Monoglyceride lipase has been linked to increased lipid breakdown and improved metabolic health. Monoglyceride lipase has also been found to regulate various signaling pathways, including those involved in inflammation, cancer, and neurodegenerative diseases.

Application Notes

Optimal dilution of the Monoglyceride lipase antibody should be determined by the researcher.

Immunogen

Amino acids QDLPHLVNADGQY were used as the immunogen for this Monoglyceride lipase antibody.

Storage

Aliquot and store the Monoglyceride lipase antibody at -20oC.

Cross
Bulk Quote Request Form
Name*:
Organization*:
Email*:
Phone Number*:
Catalog No.*:
Comments and Specifics(amount, formulation, etc.)*:
Validation code: Captchapackage Image


Can't read the image? click here to refresh.
    *required field

Your bulk quote request has been submitted successfully!

Please contact us if you have any questions.