• Tel: 858.663.9055
  • SeparatorEmail: info@nsjbio.com
  • Tel: 858.663.9055
  • Email: info@nsjbio.com
Home >> Antibodies >> MOG Antibody / Myelin Oligodendrocyte Glycoprotein

MOG Antibody / Myelin Oligodendrocyte Glycoprotein (R33134)

  Catalog No Formulation Size Price (USD)  
Image R33134-100UG 0.5 mg/ml in 1X TBS, pH7.3, with 0.5% BSA (US sourced) and 0.02% sodium azide 100 ug 449
Bulk quote request
Western blot testing of human brain lysate with MOG antibody at 0.03ug/ml. Expected molecular weight: 15-28 kDa depending on glycosylation level.
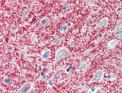
IHC testing of FFPE human cerebral cortex tissue with MOG antibody at 5ug/ml. Steamed antigen retrieval with citrate buffer pH 6, AP-staining.
Availability 1-3 business days
Species Reactivity Human
Predicted Reactivity Mouse, Rat, Pig, Cow
Format Antigen affinity purified
Clonality Polyclonal (goat origin)
Isotype Goat Ig
Purity Antigen affinity
Gene ID 4340
Localization Membrane, cytoplasm
Applications Western Blot : 0.03-0.1ug/ml
IHC (FFPE) : 5ug/ml
ELISA (peptide) LOD : 1:16000
Limitations This MOG antibody is available for research use only.
Review this product on BioCompare and get a $20 Amazon gift card

Related Products

Description

Additional name(s) for this target protein: Myelin oligodendrocyte glycoprotein

Application Notes

Optimal dilution of the MOG antibody should be determined by the researcher.

Immunogen

Amino acids AGQFLEELRNPF were used as the immunogen for this MOG antibody.

Storage

Aliquot and store the MOG antibody at -20oC.

Cross
Bulk Quote Request Form
Name*:
Organization*:
Email*:
Phone Number*:
Catalog No.*:
Comments and Specifics(amount, formulation, etc.)*:
Validation code: Captchapackage Image


Can't read the image? click here to refresh.
    *required field

Your bulk quote request has been submitted successfully!

Please contact us if you have any questions.