• Tel: 858.663.9055
  • SeparatorEmail: info@nsjbio.com
  • Tel: 858.663.9055
  • Email: info@nsjbio.com
Home >> Antibodies >> MOCS2 Antibody / Molybdopterin synthase catalytic subunit

MOCS2 Antibody / Molybdopterin synthase catalytic subunit (RQ8352)

  Catalog No Formulation Size Price (USD)  
Image RQ8352 0.5mg/ml if reconstituted with 0.2ml sterile DI water 100 ug 439
Bulk quote request
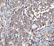
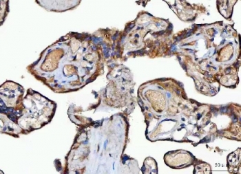
IHC staining of FFPE human placental tissue with MOCS2 antibody. HIER: boil tissue sections in pH8 EDTA for 20 min and allow to cool before testing.
IHC staining of FFPE human skeletal muscle tissue with MOCS2 antibody. HIER: boil tissue sections in pH8 EDTA for 20 min and allow to cool before testing.
IHC staining of FFPE human liver cancer tissue with MOCS2 antibody. HIER: boil tissue sections in pH8 EDTA for 20 min and allow to cool before testing.
IHC staining of FFPE human lung cancer tissue with MOCS2 antibody. HIER: boil tissue sections in pH8 EDTA for 20 min and allow to cool before testing.
Western blot testing of human 1) A549, 2) LNCaP, 3) HeLa, 4) 293T, 5) Jurkat, 6) K562, 7) HepG2 and 8) MCF7 cell lysate with MOCS2 antibody. Predicted molecular weight ~21 kDa.
Flow cytometry testing of fixed and permeabilized human JK cells with MOCS2 antibody at 1ug/million cells (blocked with goat sera); Red=cells alone, Green=isotype control, Blue= MOCS2 antibody.
Availability 1-3 business days
Species Reactivity Human
Format Antigen affinity purified
Clonality Polyclonal (rabbit origin)
Isotype Rabbit IgG
Purity Antigen affinity purified
Buffer Lyophilized from 1X PBS with 2% Trehalose
UniProt O96007
Localization Cytoplasm
Applications Western Blot : 0.5-1ug/ml
Immunohistochemistry (FFPE) : 2-5ug/ml
Flow Cytometry : 1-3ug/million cells
ELISA : 0.1-0.5ug/ml
Limitations This MOCS2 antibody is available for research use only.
Review this product on BioCompare and get a $20 Amazon gift card

Description

Molybdenum cofactor synthesis protein 2A and molybdenum cofactor synthesis protein 2B are a pair of proteins that in humans are encoded from the same MOCS2 gene. Eukaryotic molybdoenzymes use a unique molybdenum cofactor (MoCo) consisting of a pterin, termed molybdopterin, and the catalytically active metal molybdenum. MoCo is synthesized from precursor Z by the heterodimeric enzyme molybdopterin synthase. The large and small subunits of molybdopterin synthase are both encoded from this gene by overlapping open reading frames. The proteins were initially thought to be encoded from a bicistronic transcript. They are now thought to be encoded from monocistronic transcripts. Alternatively spliced transcripts have been found for this locus that encode the large and small subunits.

Application Notes

Optimal dilution of the MOCS2 antibody should be determined by the researcher.

Immunogen

An E.coli-derived human recombinant protein (M1-E168) was used as the immunogen for the MOCS2 antibody.

Storage

After reconstitution, the MOCS2 antibody can be stored for up to one month at 4oC. For long-term, aliquot and store at -20oC. Avoid repeated freezing and thawing.

Cross
Bulk Quote Request Form
Name*:
Organization*:
Email*:
Phone Number*:
Catalog No.*:
Comments and Specifics(amount, formulation, etc.)*:
Validation code: Captchapackage Image


Can't read the image? click here to refresh.
    *required field

Your bulk quote request has been submitted successfully!

Please contact us if you have any questions.