• Tel: 858.663.9055
  • SeparatorEmail: info@nsjbio.com
  • Tel: 858.663.9055
  • Email: info@nsjbio.com
Home >> Antibodies >> MOCS1 Antibody / Molybdenum cofactor biosynthesis protein 1

MOCS1 Antibody / Molybdenum cofactor biosynthesis protein 1 (RQ8828)

  Catalog No Formulation Size Price (USD)  
Image RQ8828 0.5mg/ml if reconstituted with 0.2ml sterile DI water 100 ug 439
Bulk quote request
Immunofluorescent staining of FFPE human A549 cells with MOCS1 antibody (red) and DAPI nuclear stain (blue). HIER: steam section in pH6 citrate buffer for 20 min.
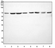
Western blot testing of 1) human Jurkat, 2) human Caco-2, 3) human HepG2, 4) human K562, 5) rat liver, 6) rat RH-35, 7) mouse liver and 8) mouse HEPA1-6 cell lysate with MOCS1 antibody. Predicted molecular weight ~70 kDa.
Availability 1-3 days
Species Reactivity Human, Mouse, Rat
Format Antigen affinity purified
Clonality Polyclonal (rabbit origin)
Isotype Rabbit IgG
Purity Antigen affinity chromatography
Buffer Lyophilized from 1X PBS with 2% Trehalose
UniProt Q9NZB8
Localization Cytoplasm, Nucleus
Applications Western Blot : 1-2ug/ml
Immunofluorescence : 5ug/ml
ELISA : 0.1-0.5ug/ml
Limitations This MOCS1 antibody is available for research use only.
Review this product on BioCompare and get a $20 Amazon gift card

Related Products

Description

Molybdenum cofactor biosynthesis protein 1 is a protein that in humans and other animals, fungi, and cellular slime molds, is encoded by the MOCS1 gene. Molybdenum cofactor biosynthesis is a conserved pathway leading to the biological activation of molybdenum. The protein encoded by this gene is involved in this pathway.

Application Notes

Optimal dilution of the MOCS1 antibody should be determined by the researcher.

Immunogen

An E.coli-derived human recombinant protein (amino acids E52-R584) was used as the immunogen for the MOCS1 antibody.

Storage

After reconstitution, the MOCS1 Antibody can be stored for up to one month at 4oC. For long-term, aliquot and store at -20oC. Avoid repeated freezing and thawing.

Cross
Bulk Quote Request Form
Name*:
Organization*:
Email*:
Phone Number*:
Catalog No.*:
Comments and Specifics(amount, formulation, etc.)*:
Validation code: Captchapackage Image


Can't read the image? click here to refresh.
    *required field

Your bulk quote request has been submitted successfully!

Please contact us if you have any questions.