- Tel: 858.663.9055
-
Email: info@nsjbio.com
- Tel: 858.663.9055
- Email: info@nsjbio.com
Related Products
|
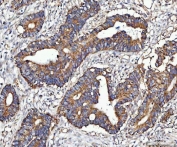
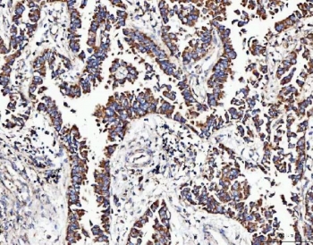
Molybdenum cofactor biosynthesis protein 1 is a protein that in humans and other animals, fungi, and cellular slime molds, is encoded by the MOCS1 gene. Molybdenum cofactor biosynthesis is a conserved pathway leading to the biological activation of molybdenum. The protein encoded by this gene is involved in this pathway. This gene was originally thought to produce a bicistronic mRNA with the potential to produce two proteins (MOCS1A and MOCS1B) from adjacent open reading frames. However, only the first open reading frame (MOCS1A) has been found to encode a protein from the putative bicistronic mRNA, whereas additional splice variants are likely to produce a fusion between the two open reading frames. This gene is defective in patients with molybdenum cofactor deficiency, type A. A related pseudogene has been identified on chromosome 16.
Optimal dilution of the MOCS1 antibody should be determined by the researcher.
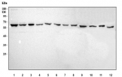
An E.coli-derived human recombinant protein (E52-R84) was used as the immunogen for the MOCS1 antibody.
After reconstitution, the MOCS1 antibody can be stored for up to one month at 4oC. For long-term, aliquot and store at -20oC. Avoid repeated freezing and thawing.
Your bulk quote request has been submitted successfully!
Please contact us if you have any questions.