• Tel: 858.663.9055
  • SeparatorEmail: info@nsjbio.com
  • Tel: 858.663.9055
  • Email: info@nsjbio.com
Home >> Antibodies >> MNT Antibody

MNT Antibody (RQ5991)

  Catalog No Formulation Size Price (USD)  
Image RQ5991 0.5mg/ml if reconstituted with 0.2ml sterile DI water 100 ug 439
Bulk quote request
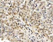
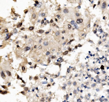
IHC staining of FFPE human liver cancer with MNT antibody. HIER: boil tissue sections in pH8 EDTA for 20 min and allow to cool before testing.
IHC staining of FFPE human liver cancer with MNT antibody. HIER: boil tissue sections in pH8 EDTA for 20 min and allow to cool before testing.
Immunofluorescent staining of FFPE human A549 cells with MNT antibody (green) and DAPI nuclear stain (blue). HIER: steam section in pH6 citrate buffer for 20 min.
Western blot testing of human 1) HeLa, 2) Raji, 3) A549, 4) HEK293, 5) K562, 6) PC-3 and 7) Caco-2 lysate with MNT antibody. Predicted molecular weight ~62 kDa.
Availability 1-3 business days
Species Reactivity Human
Format Antigen affinity purified
Clonality Polyclonal (rabbit origin)
Isotype Rabbit IgG
Purity Affinity purified
Buffer Lyophilized from 1X PBS with 2% Trehalose and 0.025% sodium azide
UniProt Q99583
Localization Nuclear
Applications Western Blot : 0.5-1ug/ml
Immunohistochemistry : 1-2ug/ml
Immunofluorescence : 2-4ug/ml
Direct ELISA : 0.1-0.5ug/ml
Limitations This MNT antibody is available for research use only.
Review this product on BioCompare and get a $20 Amazon gift card

Related Products

Description

MNT (Max's Next Tango) is a Max-binding protein that is encoded by the MNT gene. It is mapped to 17p13.3. The Myc/Max/Mad network comprises a group of transcription factors that co-interact to regulate gene-specific transcriptional activation or repression. This gene encodes a protein member of the Myc/Max/Mad network. This protein has a basic-Helix-Loop-Helix-zipper domain (bHLHzip) with which it binds the canonical DNA sequence CANNTG, known as the E box, following heterodimerization with Max proteins. This protein is likely a transcriptional repressor and an antagonist of Myc-dependent transcriptional activation and cell growth. This protein represses transcription by binding to DNA binding proteins at its N-terminal Sin3-interaction domain.

Application Notes

Optimal dilution of the MNT antibody should be determined by the researcher.

Immunogen

Recombinant human protein (amino acids H381-N564) was used as the immunogen for the MNT antibody.

Storage

After reconstitution, the MNT antibody can be stored for up to one month at 4oC. For long-term, aliquot and store at -20oC. Avoid repeated freezing and thawing.

Cross
Bulk Quote Request Form
Name*:
Organization*:
Email*:
Phone Number*:
Catalog No.*:
Comments and Specifics(amount, formulation, etc.)*:
Validation code: Captchapackage Image


Can't read the image? click here to refresh.
    *required field

Your bulk quote request has been submitted successfully!

Please contact us if you have any questions.