• Tel: 858.663.9055
  • SeparatorEmail: info@nsjbio.com
  • Tel: 858.663.9055
  • Email: info@nsjbio.com
Home >> Antibodies >> MMP7 Antibody

MMP7 Antibody (R35332)

  Catalog No Formulation Size Price (USD)  
Image R35332-100UG 0.5 mg/ml in 1X TBS, pH7.3, with 0.5% BSA (US sourced) and 0.02% sodium azide 100 ug 449
Bulk quote request
Western blot testing of human breast lysate with MMP7 antibody at 0.03ug/ml. Predicted molecular weight ~30kDa.
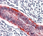
IHC staining of FFPE human uterus with MMP7 antibody at 3.8ug/ml. HIER: steamed with pH6 citrate buffer, AP-staining.
Availability 1-3 business days
Species Reactivity Human
Format Antigen affinity purified
Clonality Polyclonal (goat origin)
Isotype Goat Ig
Purity Antigen affinity
Gene ID 4316
Applications Western Blot : 0.03-0.1ug/ml
Immunohistochemistry (FFPE) : 3-6ug/ml
ELISA (peptide) LOD : 1:64000
Limitations This MMP7 antibody is available for research use only.
Review this product on BioCompare and get a $20 Amazon gift card

Related Products

  • Applications : WB, IHC-P, ELISA (protein)
    Reactivity : Human
  • Applications : WB, IHC-P, ELISA (protein)
    Reactivity : Mouse, Rat
  • Applications : WB, IHC, IF, ELISA
    Reactivity : Human

Description

Additional name(s) for this target protein: Matrix metalloproteinase 7

Application Notes

Optimal dilution of the MMP7 antibody should be determined by the researcher.

Immunogen

Amino acids QKLYGKRSNSRKK were used as the immunogen for this MMP7 antibody.

Storage

Aliquot and store the MMP7 antibody at -20oC.

Cross
Bulk Quote Request Form
Name*:
Organization*:
Email*:
Phone Number*:
Catalog No.*:
Comments and Specifics(amount, formulation, etc.)*:
Validation code: Captchapackage Image


Can't read the image? click here to refresh.
    *required field

Your bulk quote request has been submitted successfully!

Please contact us if you have any questions.