• Tel: 858.663.9055
  • SeparatorEmail: info@nsjbio.com
  • Tel: 858.663.9055
  • Email: info@nsjbio.com
Home >> Antibodies >> MMP7 Antibody

MMP7 Antibody (R31468)

  Catalog No Formulation Size Price (USD)  
Image R31468 0.5mg/ml if reconstituted with 0.2ml sterile DI water 100 ug 439
Bulk quote request
Western blot testing of MMP7 antibody and A549 lysate. Predicted molecular weight ~30kDa.
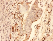
IHC-P: MMP7 antibody testing of human intestine cancer tissue
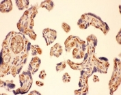
IHC-P: MMP7 antibody testing of human placenta tissue
Availability 1-3 business days
Species Reactivity Human
Format Antigen affinity purified
Clonality Polyclonal (rabbit origin)
Isotype Rabbit IgG
Purity Antigen affinity
Buffer Lyophilized from 1X PBS with 2.5% BSA and 0.025% sodium azide
Gene ID 4316
Applications Western Blot : 0.5-1ug/ml
IHC (FFPE) : 0.5-1ug/ml
ELISA : 0.1-0.5ug/ml (human protein tested); request BSA free format for coating
Limitations This MMP7 antibody is available for research use only.
Review this product on BioCompare and get a $20 Amazon gift card

Related Products

  • Applications : WB, IHC-P, ELISA (protein)
    Reactivity : Mouse, Rat
  • Applications : WB, IHC, IF, ELISA
    Reactivity : Human
  • Applications : WB, IHC, ELISA (peptide)
    Reactivity : Human

Description

Matrix metalloproteinase-7, previously called putative metalloproteinase I (PUMP1) or Matrilysin, has been identified through studies of collagenase-related connective-tissue-degrading metalloproteinases produced by human tumors. The protein has 267 amino acids and is significantly shorter than stromelysin or collagenase (477 and 469 amino acids, respectively). Matrix metalloproteinases play a crucial role in tumor invasion and metastasis. MMP7, a member of the matrix metalloproteinase family, is structurally different from the other matrix metalloproteinases by virtue of the absence of a conserved COOH-terminal protein domain. In addition, mRNA is regulated in a specific and distinct manner in normal and malignant tissues. MMP7 has been shown to correlate with nodal or distant metastasis in colorectal carcinomas, however, its implication in early invasive colorectal carcinomas has not been determined. It is a mediator of pulmonary fibrosis and a potential therapeutic target.

Application Notes

The stated application concentrations are suggested starting amounts. Titration of the MMP7 antibody may be required due to differences in protocols and secondary/substrate sensitivity.

Immunogen

Human partial recombinant protein (AA 1-267) was used as the immunogen for this MMP7 antibody.

Storage

After reconstitution, the MMP7 antibody can be stored for up to one month at 4oC. For long-term, aliquot and store at -20oC. Avoid repeated freezing and thawing.

Cross
Bulk Quote Request Form
Name*:
Organization*:
Email*:
Phone Number*:
Catalog No.*:
Comments and Specifics(amount, formulation, etc.)*:
Validation code: Captchapackage Image


Can't read the image? click here to refresh.
    *required field

Your bulk quote request has been submitted successfully!

Please contact us if you have any questions.