• Tel: 858.663.9055
  • SeparatorEmail: info@nsjbio.com
  • Tel: 858.663.9055
  • Email: info@nsjbio.com
Home >> Antibodies >> MMP3 Antibody

MMP3 Antibody [clone MMP3/2655] (V7437)

  Catalog No Formulation Size Price (USD)  
Image V7437-100UG 0.2 mg/ml in 1X PBS with 0.1 mg/ml BSA (US sourced) and 0.05% sodium azide 100 ug 539
Image
V7437-20UG 0.2 mg/ml in 1X PBS with 0.1 mg/ml BSA (US sourced) and 0.05% sodium azide 20 ug 249
Image
V7437SAF-100UG 1 mg/ml in 1X PBS; BSA free, sodium azide free 100 ug 539
Microvalidated
Bulk quote request
Western blot testing of human Raji, HEK293, and HT-29 cell lysate with MMP3 antibody. Predicted molecular weight ~54 kDa.
Analysis of HuProt(TM) microarray containing more than 19,000 full-length human proteins using MMP3 antibody. These results demonstrate the foremost specificity of the MMP3/2655 mAb.
Z- and S- score: The Z-score represents the strength of a signal that an antibody (in combination with a fluorescently-tagged anti-IgG secondary Ab) produces when binding to a particular protein on the HuProt(TM) array. Z-scores are described in units of standard deviations (SD's) above the mean value of all signals generated on that array. If the targets on the HuProt(TM) are arranged in descending order of the Z-score, the S-score is the difference (also in units of SD's) between the Z-scores. The S-score therefore represents the relative target specificity of an Ab to its intended target.
Availability 1-3 business days
Species Reactivity Human
Format Purified
Clonality Monoclonal (mouse origin)
Isotype Mouse IgG2b, kappa
Clone Name MMP3/2655
Purity Protein G affinity chromatography
UniProt P08254
Localization Cytoplasmic, secreted
Applications ELISA (order BSA/sodium Azide-free Format For Coating) :
Western Blot : 1-2ug/ml
Limitations This MMP3 antibody is available for research use only.
Review this product on BioCompare and get a $20 Amazon gift card

Related Products

Description

The matrix metalloproteinases (MMP) are a family of peptidase enzymes responsible for the degradation of extracellular matrix components, including collagen, gelatin, fibronectin, laminin and proteoglycan. Transcription of MMP genes is differentially activated by phorbol ester, lipopolysaccharide (LPS) or staphylococcal enterotoxin B (SEB). MMP catalysis requires both calcium and zinc. MMP3, MMP10 and MMP11 (also designated stromelysin-1, 2 and 3, respectively) activate procollagenase. MMP3 activation of procollagenase can occur via two pathways. Direct activation by MMP3 is slow and activation by MMP3 in conjunction with tissue or plasma proteinases is rapid. MMP10 is expressed in small intestine, and at lower levels in lung and heart. MMP11 is specifically expressed in stromal cells of breast carcinomas and contributes to epithelial cell malignancies.

Application Notes

Optimal dilution of the MMP3 antibody should be determined by the researcher.

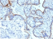
1. The prediluted format is supplied in a dropper bottle and is optimized for use in IHC. After epitope retrieval step (if required), drip mAb solution onto the tissue section and incubate at RT for 30 min.

Immunogen

A portion of amino acids 236-363 was used as the immunogen for the MMP3 antibody.

Storage

Store the MMP3 antibody at 2-8oC (with azide) or aliquot and store at -20oC or colder (without azide).

Cross
Bulk Quote Request Form
Name*:
Organization*:
Email*:
Phone Number*:
Catalog No.*:
Comments and Specifics(amount, formulation, etc.)*:
Validation code: Captchapackage Image


Can't read the image? click here to refresh.
    *required field

Your bulk quote request has been submitted successfully!

Please contact us if you have any questions.