• Tel: 858.663.9055
  • SeparatorEmail: info@nsjbio.com
  • Tel: 858.663.9055
  • Email: info@nsjbio.com
Home >> Antibodies >> MMP16 Antibody

MMP16 Antibody (R30291)

  Catalog No Formulation Size Price (USD)  
Image R30291 0.5mg/ml if reconstituted with 0.2ml sterile DI water 100 ug 439
Bulk quote request
IHC staining of frozen human placental tissue with MMP16 antibody.
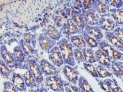
IHC staining of frozen rat intestine tissue with MMP16 antibody.
IHC staining of FFPE human rectal cancer tissue with MMP16 antibody. HIER: boil tissue sections in pH6 citrate buffer for 20 min and allow to cool before testing.
Western blot testing of MMP16 antibody and human heart tissue lysate. Predicted molecular weight: ~70 kDa (long form), ~53 kDa (short form).
Availability 1-3 business days
Species Reactivity Human, Mouse, Rat
Format Antigen affinity purified
Clonality Polyclonal (rabbit origin)
Isotype Rabbit IgG
Purity Antigen affinity
Buffer Lyophilized from 1X PBS with 2% Trehalose
UniProt P51512
Localization Cytoplasmic, membrane, secreted
Applications Western Blot : 0.5-1ug/ml
IHC (FFPE) : 0.5-1ug/ml
IHC (Frozen) : 0.5-1ug/ml
Limitations This MMP16 antibody is available for research use only.
Review this product on BioCompare and get a $20 Amazon gift card

Related Products

  • Applications : WB, IHC-P, IF, FACS, Direct ELISA
    Reactivity : Human, Mouse, Rat

Description

The matrix metalloproteinase 16 (MMP16) protein consists of 604 amino acids and has a characteristic MMP domain structure, which gene is mapped on human chromosome 8q21. Additionally, MMP16 has a C-terminal extension containing a potential transmembrane domain, similar to MMP14, MMP15, and MMP17. Furthermore, it is membrane-bound and is a member of the membrane-type MMPs that are a subclass in the MMP family since the other members lack a C-terminal transmembrane domain and are secreted as soluble forms.

Application Notes

The stated application concentrations are suggested starting amounts. Titration of the MMP16 antibody may be required due to differences in protocols and secondary/substrate sensitivity.

Immunogen

An amino acid sequence from the C-terminus of human MMP16 (YTVFQFKRKGTPRHILY) was used as the immunogen for this MMP16 antibody (100% homologous in human, mouse and rat).

Storage

After reconstitution, the MMP16 antibody can be stored for up to one month at 4oC. For long-term, aliquot and store at -20oC. Avoid repeated freezing and thawing.

Cross
Bulk Quote Request Form
Name*:
Organization*:
Email*:
Phone Number*:
Catalog No.*:
Comments and Specifics(amount, formulation, etc.)*:
Validation code: Captchapackage Image


Can't read the image? click here to refresh.
    *required field

Your bulk quote request has been submitted successfully!

Please contact us if you have any questions.