• Tel: 858.663.9055
  • SeparatorEmail: info@nsjbio.com
  • Tel: 858.663.9055
  • Email: info@nsjbio.com
Home >> Antibodies >> MMP14 Antibody

MMP14 Antibody (R31266)

  Catalog No Formulation Size Price (USD)  
Image R31266 0.5mg/ml if reconstituted with 0.2ml sterile DI water 100 ug 439
Bulk quote request
IHC-P: MMP14 antibody testing of human intestinal cancer tissue
IHC-P: MMP14 antibody testing of human placenta tissue
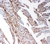
IHC-P: MMP14 antibody testing of rat heart tissue
Availability 1-3 business days
Species Reactivity Human, Mouse, Rat
Format Antigen affinity purified
Clonality Polyclonal (rabbit origin)
Isotype Rabbit IgG
Purity Antigen affinity
Buffer Lyophilized from 1X PBS with 2.5% BSA and 0.025% sodium azide/thimerosal
UniProt P50281
Applications Western Blot : 0.5-1ug/ml
IHC (FFPE) : 0.5-1ug/ml
Limitations This MMP14 antibody is available for research use only.
Review this product on BioCompare and get a $20 Amazon gift card

Related Products

  • Applications : WB, IF, ELISA
    Reactivity : Human
    Pred. Reactivity : Bovine, Mouse, Pig, Rabbit, Rat
  • Applications : WB
    Reactivity : Human
  • Applications : WB, ELISA (peptide)
    Reactivity : Human
    Pred. Reactivity : Cow, Dog, Mouse, Pig, Rat
  • Applications : WB, FACS, IHC-P
    Reactivity : Human, Mouse, Rat

Description

Matrix metalloproteinase-14, also called MT-MMP 1, is an enzyme that in humans is encoded by the MMP14 gene. The protein encoded by this gene is a member of the membrane-type MMP subfamily. This gene is mapped to 14q11.2. Proteins of the matrix metalloproteinase (MMP) family are involved in the breakdown of extracellular matrix in normal physiological processes, such as embryonic development, reproduction, and tissue remodeling, as well as in disease processes, such as arthritis and metastasis. This gene may be involved in actin cytoskeleton reorganization by cleaving PTK7. It acts as a positive regulator of cell growth and migration via activation of MMP15.

Application Notes

The stated application concentrations are suggested starting amounts. Titration of the MMP14 antibody may be required due to differences in protocols and secondary/substrate sensitivity.

Immunogen

An amino acid sequence from the C-terminus of human Matrix metalloproteinase-14 (TPRRLLYCQRSLLDKV) was used as the immunogen for this MMP14 antibody.

Storage

After reconstitution, the MMP14 antibody can be stored for up to one month at 4oC. For long-term, aliquot and store at -20oC. Avoid repeated freezing and thawing.

Cross
Bulk Quote Request Form
Name*:
Organization*:
Email*:
Phone Number*:
Catalog No.*:
Comments and Specifics(amount, formulation, etc.)*:
Validation code: Captchapackage Image


Can't read the image? click here to refresh.
    *required field

Your bulk quote request has been submitted successfully!

Please contact us if you have any questions.