• Tel: 858.663.9055
  • SeparatorEmail: info@nsjbio.com
  • Tel: 858.663.9055
  • Email: info@nsjbio.com
Home >> Antibodies >> MMP14 Antibody

MMP14 Antibody (F54844)

  Catalog No Formulation Size Price (USD)  
Image F54844-0.4ML In 1X PBS, pH 7.4, with 0.09% sodium azide 0.4 ml 429
Image
F54844-0.08ML In 1X PBS, pH 7.4, with 0.09% sodium azide 0.08 ml 199
Bulk quote request
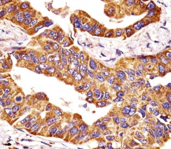
IHC testing of FFPE human lung adenocarcinoma tissue with MMP14 antibody. HIER: steam section in pH6 citrate buffer for 20 min and allow to cool prior to staining.
Western blot testing of 1) human A2058, 2) human HT-1080, 3) human MCF-7, 4) human NCI-H292, 5) mouse kidney and 6) rat kidney tissue lysate with MMP14 antibody. Predicted molecular weight ~66 kDa (pro form), ~54 kDa (active form), ~44 kDa (inactive form).
Flow cytometry testing of human MCF7 cells with MMP14 antibody; Blue=isotype control, Green= MMP14 antibody.
Availability 1-3 business days
Species Reactivity Human, Mouse, Rat
Format Purified
Clonality Polyclonal (rabbit origin)
Isotype Rabbit Ig
Purity Antigen affinity purified
UniProt P50281
Localization Cytoplasmic
Applications Western Blot : 1:500-1:1000
Flow Cytometry : 1:10-1:50 (1x10e6 cells)
Immunohistochemistry (FFPE) : 1:25
Limitations This MMP14 antibody is available for research use only.
Review this product on BioCompare and get a $20 Amazon gift card

Related Products

  • Applications : WB, IF, ELISA
    Reactivity : Human
    Pred. Reactivity : Bovine, Mouse, Pig, Rabbit, Rat
  • Applications : WB, IHC-P
    Reactivity : Human, Mouse, Rat
  • Applications : WB
    Reactivity : Human
  • Applications : WB, ELISA (peptide)
    Reactivity : Human
    Pred. Reactivity : Cow, Dog, Mouse, Pig, Rat

Description

Proteins of the matrix metalloproteinase (MMP) family are involved in the breakdown of extracellular matrix in normal physiological processes, such as embryonic development, reproduction, and tissue remodeling, as well as in disease processes, such as arthritis and metastasis. Most MMPs are secreted as inactive proproteins which are activated when cleaved by extracellular proteinases. MMP14 seems to specifically activate progelatinase A, and may thus trigger invasion by tumor cells by activating progelatinase A on the tumor cell surface. Expression is significant in stromal cells of colon, breast, and head and neck.

Application Notes

The stated application concentrations are suggested starting points. Titration of the MMP14 antibody may be required due to differences in protocols and secondary/substrate sensitivity.

Immunogen

A portion of amino acids 145-174 from the human protein was used as the immunogen for the MMP14 antibody.

Storage

Aliquot the MMP14 antibody and store frozen at -20oC or colder. Avoid repeated freeze-thaw cycles.

Cross
Bulk Quote Request Form
Name*:
Organization*:
Email*:
Phone Number*:
Catalog No.*:
Comments and Specifics(amount, formulation, etc.)*:
Validation code: Captchapackage Image


Can't read the image? click here to refresh.
    *required field

Your bulk quote request has been submitted successfully!

Please contact us if you have any questions.