• Tel: 858.663.9055
  • SeparatorEmail: info@nsjbio.com
  • Tel: 858.663.9055
  • Email: info@nsjbio.com
Home >> Antibodies >> MMP12 Antibody

MMP12 Antibody (F54299)

  Catalog No Formulation Size Price (USD)  
Image F54299-0.4ML In 1X PBS, pH 7.4, with 0.09% sodium azide 0.4 ml 429
Image
F54299-0.08ML In 1X PBS, pH 7.4, with 0.09% sodium azide 0.08 ml 199
Bulk quote request
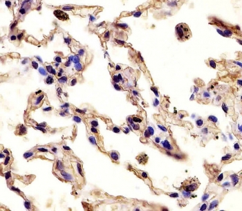
IHC testing of FFPE human lung tissue with MMP12 antibody. HIER: steam section in pH6 citrate buffer for 20 min and allow to cool prior to staining.
Western blot testing of human heart lysate with MMP12 antibody. Predicted molecular weight: ~55 kDa.
Western blot testing of human lung lysate with MMP12 antibody. Predicted molecular weight: ~55 kDa.
Western blot testing of mouse kidney lysate with MMP12 antibody in the absence and presence of blocking peptide. Predicted molecular weight: ~55 kDa.
Availability 1-3 business days
Species Reactivity Human, Mouse
Format Purified
Clonality Polyclonal (rabbit origin)
Isotype Rabbit Ig
Purity Antigen affinity purified
UniProt P39900
Applications Western Blot : 1:500-1:2000
Immunohistochemistry (FFPE) : 1:25
Immunofluorescence : 1:25
Limitations This MMP12 antibody is available for research use only.
Review this product on BioCompare and get a $20 Amazon gift card

Related Products

  • Applications : WB, IHC-P
    Reactivity : Human
    Recrabbitmono
  • Applications : WB
    Reactivity : Human
  • Applications : WB, ELISA (peptide)
    Reactivity : Human
    Pred. Reactivity : Dog, Cow
  • Applications : WB, ELISA (protein)
    Reactivity : Mouse
  • Applications : WB, ELISA
    Reactivity : Mouse

Description

Proteins of the matrix metalloproteinase (MMP) family are involved in the breakdown of extracellular matrix in normal physiological processes, such as embryonic development, reproduction, and tissue remodeling, as well as in disease processes, such as arthritis and metastasis. Most MMPs are secreted as inactive proproteins which are activated when cleaved by extracellular proteinases. MMP12 may be involved in tissue injury and remodeling. This protein has significant elastolytic activity. MMP12 can accept large and small amino acids at the P1' site, but has a preference for leucine. Aromatic or hydrophobic residues are preferred at the P1 site, wtih small hydrophobic residues (prefereably alanine) occupying P3. The protein is found in alveolar macrophages but not in peripheral blood monocytes. MMP12 can be induced by exposure to lypopolysaccharide, and is inhibited by dexamethasone.

Application Notes

The stated application concentrations are suggested starting points. Titration of the MMP12 antibody may be required due to differences in protocols and secondary/substrate sensitivity.

Immunogen

A portion of amino acids 391-420 from the human protein were used as the immunogen for the MMP12 antibody.

Storage

Aliquot the MMP12 antibody and store frozen at -20oC or colder. Avoid repeated freeze-thaw cycles.

Cross
Bulk Quote Request Form
Name*:
Organization*:
Email*:
Phone Number*:
Catalog No.*:
Comments and Specifics(amount, formulation, etc.)*:
Validation code: Captchapackage Image


Can't read the image? click here to refresh.
    *required field

Your bulk quote request has been submitted successfully!

Please contact us if you have any questions.