• Tel: 858.663.9055
  • SeparatorEmail: info@nsjbio.com
  • Tel: 858.663.9055
  • Email: info@nsjbio.com
Home >> Antibodies >> MMP11 Antibody

MMP11 Antibody (R32703)

  Catalog No Formulation Size Price (USD)  
Image R32703 0.5mg/ml if reconstituted with 0.2ml sterile DI water 100 ug 439
Bulk quote request
Western blot testing of 1) rat spleen and 2) human MM231 lysate with MMP11 antibody at 0.5ug/ml. Predicted molecular weight ~55 kDa.
IHC testing of FFPE human appendicitis tissue with MMP11 antibody at 1ug/ml. Required HIER: steam section in pH6 citrate buffer for 20 min and allow to cool prior to testing.
IHC testing of FFPE mouse spleen tissue with MMP11 antibody at 1ug/ml. Required HIER: steam section in pH6 citrate buffer for 20 min and allow to cool prior to testing.
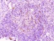
IHC testing of FFPE rat spleen tissue with MMP11 antibody at 1ug/ml. Required HIER: steam section in pH6 citrate buffer for 20 min and allow to cool prior to testing.
Availability 1-3 business days
Species Reactivity Human, Mouse, Rat
Format Antigen affinity purified
Clonality Polyclonal (rabbit origin)
Isotype Rabbit IgG
Purity Antigen affinity
Buffer Lyophilized from 1X PBS with 2.5% BSA, 0.025% sodium azide
UniProt P24347
Localization Cytoplasmic
Applications Western Blot : 0.5-1ug/ml
IHC (FFPE) : 1-2ug/ml
Limitations This MMP11 antibody is available for research use only.
Review this product on BioCompare and get a $20 Amazon gift card

Description

Stromelysin-3 (SL-3) also known as matrix metalloproteinase-11 (MMP-11) is an enzyme that in humans is encoded by the MMP11 gene. Proteins of the matrix metalloproteinase (MMP) family are involved in the breakdown of extracellular matrix in normal physiological processes, such as embryonic development, reproduction, and tissue remodeling, as well as in disease processes, such as arthritis and metastasis. Most MMP's are secreted as inactive proproteins which are activated when cleaved by extracellular proteinases. However, the enzyme encoded by this gene is activated intracellularly by furin within the constitutive secretory pathway. Also in contrast to other MMP's, this enzyme cleaves alpha 1-proteinase inhibitor but weakly degrades structural proteins of the extracellular matrix.

Application Notes

Optimal dilution of the MMP11 antibody should be determined by the researcher.

Immunogen

Amino acids 104-135 (RWEKTDLTYRILRFPWQLVQEQVRQTMAEALK) from the human protein were used as the immunogen for the MMP11 antibody.

Storage

After reconstitution, the MMP11 antibody can be stored for up to one month at 4oC. For long-term, aliquot and store at -20oC. Avoid repeated freezing and thawing.

Cross
Bulk Quote Request Form
Name*:
Organization*:
Email*:
Phone Number*:
Catalog No.*:
Comments and Specifics(amount, formulation, etc.)*:
Validation code: Captchapackage Image


Can't read the image? click here to refresh.
    *required field

Your bulk quote request has been submitted successfully!

Please contact us if you have any questions.