• Tel: 858.663.9055
  • SeparatorEmail: info@nsjbio.com
  • Tel: 858.663.9055
  • Email: info@nsjbio.com
Home >> Antibodies >> MMP10 Antibody

MMP10 Antibody (R32949)

  Catalog No Formulation Size Price (USD)  
Image R32949 0.5mg/ml if reconstituted with 0.2ml sterile DI water 100 ug 439
Bulk quote request
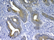
IHC testing of FFPE human breast cancer tissue with MMP10 antibody at 1ug/ml. Required HIER: steam section in pH6 citrate buffer for 20 min and allow to cool prior to testing.
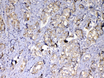
IHC testing of FFPE human colon cancer tissue with MMP10 antibody at 1ug/ml. Required HIER: steam section in pH6 citrate buffer for 20 min and allow to cool prior to testing.
Western blot testing of 1) rat heart and 2) mouse heart lysate with MMP10 antibody at 0.5ug/ml. Expected molecular weight ~54 kDa.
Western blot testing of human placental lysate with MMP10 antibody at 0.5ug/ml. Expected molecular weight ~54 kDa.
IF/ICC staining of FFPE human A549 cells with MMP10 antibody at 1ug/ml. Required HIER: steam section in pH6 citrate buffer for 20 min and allow to cool prior to testing.
Availability 1-3 business days
Species Reactivity Human, Mouse, Rat
Format Antigen affinity purified
Clonality Polyclonal (rabbit origin)
Isotype Rabbit IgG
Purity Antigen affinity
Buffer Lyophilized from 1X PBS with 2% Trehalose
UniProt P09238
Localization Secreted
Applications Western Blot : 0.5-1ug/ml
IHC (FFPE) : 1-2ug/ml
IF/ICC (FFPE) : 1-2ug/ml
Direct ELISA (human Recombinant Protein) : 0.1-0.5ug/ml (BSA-free format available)
Limitations This MMP10 antibody is available for research use only.
Review this product on BioCompare and get a $20 Amazon gift card

Related Products

  • Applications : WB
    Reactivity : Human
  • Applications : WB
    Reactivity : Human
  • Applications : WB, IHC-P, IF
    Reactivity : Human

Description

Stromelysin-2, also known as Matrix metalloproteinase-10 (MMP-10) or Transin-2, is an enzyme that in humans is encoded by the MMP10 gene. Proteins of the matrix metalloproteinase (MMP) family are involved in the breakdown of extracellular matrix in normal physiological processes, such as embryonic development, reproduction, and tissue remodeling, as well as in disease processes, such as arthritis and metastasis. Most MMP's are secreted as inactive proproteins which are activated when cleaved by extracellular proteinases. The enzyme encoded by this gene degrades proteoglycans and fibronectin. The gene is part of a cluster of MMP genes which localize to chromosome 11q22.3.

Application Notes

Optimal dilution of the MMP10 antibody should be determined by the researcher.

Immunogen

A recombinant human protein corresponding to amino acids Y239-C476 was used as the immunogen for the MMP10 antibody.

Storage

After reconstitution, the MMP10 antibody can be stored for up to one month at 4oC. For long-term, aliquot and store at -20oC. Avoid repeated freezing and thawing.

Cross
Bulk Quote Request Form
Name*:
Organization*:
Email*:
Phone Number*:
Catalog No.*:
Comments and Specifics(amount, formulation, etc.)*:
Validation code: Captchapackage Image


Can't read the image? click here to refresh.
    *required field

Your bulk quote request has been submitted successfully!

Please contact us if you have any questions.