• Tel: 858.663.9055
  • SeparatorEmail: info@nsjbio.com
  • Tel: 858.663.9055
  • Email: info@nsjbio.com
Home >> Antibodies >> MMP10 Antibody| Matrix metalloproteinase 10

MMP10 Antibody| Matrix metalloproteinase 10 (F55069)

  Catalog No Formulation Size Price (USD)  
Image F55069-0.1ML In 1X PBS, pH 7.4, with 0.09% sodium azide and 50% glycerol 0.1 ml 429
Bulk quote request
Western blot testing of human A549 cell lysate with MMP10 antibody. Predicted molecular weight ~54 kDa.
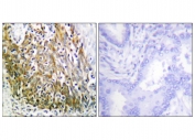
IHC staining of FFPE human lung carcinoma tissue with MMP10 antibody (left) and without primary antibody (right). HIER: steam section in pH6 citrate buffer for 20 min and allow to cool prior to staining.
Immunofluorescent staining of fixed and permeabilized human HepG2 cells with MMP10 antibody.
Availability 1-3 business days
Species Reactivity Human
Format Purified
Clonality Polyclonal (rabbit origin)
Isotype Rabbit Ig
UniProt P09238
Applications Western Blot : 1:500-1:1000
Immunohistochemistry (FFPE) : 1:50-1:100
Immunofluorescence : 1:50-1:100
Limitations This MMP10 antibody is available for research use only.
Review this product on BioCompare and get a $20 Amazon gift card

Related Products

  • Applications : WB
    Reactivity : Human
  • Applications : WB
    Reactivity : Human
  • Applications : WB, IHC-P, IF/ICC, Direct ELISA
    Reactivity : Human, Mouse, Rat

Description

MMP10 belongs to the matrix metalloproteinase family, a group of enzymes that play a key role in tissue remodeling by degrading various components of the extracellular matrix. Specifically, MMP10 is known for its ability to degrade collagen, a major structural component of connective tissue. By breaking down collagen, MMP10 helps to facilitate the turnover of damaged tissues and promote the regeneration of new, healthy tissue. One of the most intriguing aspects of MMP10 is its regulation in response to different stimuli. For example, MMP10 expression can be induced by factors such as growth factors, cytokines, and mechanical stress. This dynamic regulation allows MMP10 to respond to changing environmental conditions and play a crucial role in processes such as tissue repair and inflammation. Research has also shown that dysregulation of MMP10 activity can have detrimental effects on tissue homeostasis. For example, overexpression of MMP10 has been linked to various pathological conditions, including cancer metastasis and inflammatory diseases. On the other hand, decreased MMP10 activity has been associated with impaired wound healing and fibrosis.

Application Notes

Titration of the MMP10 antibody may be required due to differences in protocols and secondary/substrate sensitivity.

Immunogen

A portion of amino acids 380-410 from the human protein was used as the immunogen for the MMP10 antibody.

Storage

Store the MMP10 antibody at -20oC.

Cross
Bulk Quote Request Form
Name*:
Organization*:
Email*:
Phone Number*:
Catalog No.*:
Comments and Specifics(amount, formulation, etc.)*:
Validation code: Captchapackage Image


Can't read the image? click here to refresh.
    *required field

Your bulk quote request has been submitted successfully!

Please contact us if you have any questions.