• Tel: 858.663.9055
  • SeparatorEmail: info@nsjbio.com
  • Tel: 858.663.9055
  • Email: info@nsjbio.com
Home >> Antibodies >> MLKL Antibody / Mixed lineage kinase domain-like protein

MLKL Antibody / Mixed lineage kinase domain-like protein (RQ8838)

  Catalog No Formulation Size Price (USD)  
Image RQ8838 0.5mg/ml if reconstituted with 0.2ml sterile DI water 100 ug 439
Bulk quote request
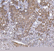
IHC staining of FFPE human thyroid papillary carcinoma tissue with MLKL antibody. HIER: boil tissue sections in pH8 EDTA for 20 min and allow to cool before testing.
IHC staining of FFPE human thyroid papillary carcinoma tissue with MLKL antibody. HIER: boil tissue sections in pH8 EDTA for 20 min and allow to cool before testing.
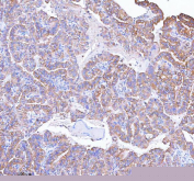
IHC staining of FFPE human breast cancer tissue with MLKL antibody. HIER: boil tissue sections in pH8 EDTA for 20 min and allow to cool before testing.
IHC staining of FFPE human breast cancer tissue with MLKL antibody. HIER: boil tissue sections in pH8 EDTA for 20 min and allow to cool before testing.
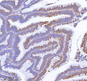
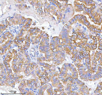
IHC staining of FFPE human colon adenocarcinoma tissue with MLKL antibody. HIER: boil tissue sections in pH8 EDTA for 20 min and allow to cool before testing.
IHC staining of FFPE human colon adenocarcinoma tissue with MLKL antibody. HIER: boil tissue sections in pH8 EDTA for 20 min and allow to cool before testing.
Immunofluorescent staining of FFPE human U-2 OS cells with MLKL antibody (red) and DAPI nuclear stain (blue). HIER: steam section in pH6 citrate buffer for 20 min.
Western blot testing of 1) human PC-3, 2) human A549, 3) human MCF7, 4) human HepG2, 5) rat testis, 6) rat liver, 7) mouse testis and 8) mouse liver tissue lysate with MLKL antibody. Predicted molecular weight ~54 kDa.
Flow cytometry testing of fixed and permeabilized human MCF7 cells with MLKL antibody at 1ug/million cells (blocked with goat sera); Red=cells alone, Green=isotype control, Blue= MLKL antibody.
Availability 1-3 days
Species Reactivity Human, Mouse, Rat
Format Antigen affinity purified
Clonality Polyclonal (rabbit origin)
Isotype Rabbit IgG
Purity Antigen affinity chromatography
Buffer Lyophilized from 1X PBS with 2% Trehalose
UniProt Q8NB16
Localization Cell membrane, cytoplasm
Applications Western Blot : 1-2ug/ml
Immunohistochemistry (FFPE) : 2-5ug/ml
Immunofluorescence : 5ug/ml
Flow Cytometry : 1-3ug/million cells
ELISA : 0.1-0.5ug/ml
Limitations This MLKL antibody is available for research use only.
Review this product on BioCompare and get a $20 Amazon gift card

Related Products

  • Applications : WB, ELISA
    Reactivity : Mouse

Description

Mixed lineage kinase domain like pseudokinase (MLKL) is a protein that in humans is encoded by the MLKL gene. This gene belongs to the protein kinase superfamily. The encoded protein contains a protein kinase-like domain; however, is thought to be inactive because it lacks several residues required for activity. This protein plays a critical role in tumor necrosis factor (TNF)-induced necroptosis, a programmed cell death process, via interaction with receptor-interacting protein 3 (RIP3), which is a key signaling molecule in necroptosis pathway. Inhibitor studies and knockdown of this gene inhibited TNF-induced necrosis. High levels of this protein and RIP3 are associated with inflammatory bowel disease in children. Alternatively spliced transcript variants have been described for this gene.

Application Notes

Optimal dilution of the MLKL antibody should be determined by the researcher.

Immunogen

An E.coli-derived human recombinant protein (amino acids R210-K464) was used as the immunogen for the MLKL antibody.

Storage

After reconstitution, the MLKL Antibody can be stored for up to one month at 4oC. For long-term, aliquot and store at -20oC. Avoid repeated freezing and thawing.

Cross
Bulk Quote Request Form
Name*:
Organization*:
Email*:
Phone Number*:
Catalog No.*:
Comments and Specifics(amount, formulation, etc.)*:
Validation code: Captchapackage Image


Can't read the image? click here to refresh.
    *required field

Your bulk quote request has been submitted successfully!

Please contact us if you have any questions.