• Tel: 858.663.9055
  • SeparatorEmail: info@nsjbio.com
  • Tel: 858.663.9055
  • Email: info@nsjbio.com
Home >> Antibodies >> MLCK Antibody / Myosin light chain kinase / MYLK

MLCK Antibody / Myosin light chain kinase / MYLK (F50923)

  Catalog No Formulation Size Price (USD)  
Image F50923-0.4ML In 1X PBS, pH 7.4, with 0.09% sodium azide 0.4 ml 429
Image
F50923-0.08ML In 1X PBS, pH 7.4, with 0.09% sodium azide 0.08 ml 199
Bulk quote request
Western blot testing of human SK-BR-3 lysate with MLCK antibody. Predicted molecular weight: isoforms from 197-211 kDa and ~110 kDa.
Western blot testing of mouse bladder tissue lysate using MLCK antibody at 1:1000. Predicted molecular weight: isoforms from 197-211 kDa and ~110 kDa.
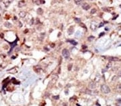
IHC analysis of FFPE human breast carcinoma tissue stained with the MLCK antibody.
Availability 1-3 business days
Species Reactivity Human, Mouse
Predicted Reactivity Rabbit
Format Purified
Clonality Polyclonal (rabbit origin)
Isotype Rabbit Ig
Purity Purified
UniProt Q15746
Applications IHC (Paraffin) : 1:50-1:100
Western Blot : 1:1000
Limitations This MLCK antibody is available for research use only.
Review this product on BioCompare and get a $20 Amazon gift card

Related Products

  • Applications : IHC-P, WB
    Reactivity : Human
    Rab Mono Image
  • Applications : WB, ELISA (peptide)
    Reactivity : Human
    Pred. Reactivity : Mouse
  • Applications : WB, IHC-P, ELISA
    Reactivity : Human, Mouse, Rat

Description

MLCK (MYLK), a member of the Ser/Thr protein kinase family, is a calcium/calmodulin-dependent enzyme responsible for smooth muscle contraction via phosphorylation of a specific serine in the N-terminus of myosin light chains (MLC), an event that facilitates myosin interaction with actin filaments. It is a central determinant in the development of vascular permeability and tissue edema formation. In the nervous system it has been shown to control the growth initiation of astrocytic processes in culture and to participate in transmitter release at synapses formed between cultured sympathetic ganglion cells. MLCK acts as a critical participant in signaling sequences that result in fibroblast apoptosis. Smooth muscle and non-muscle isozymes are expressed in a wide variety of adult and fetal tissues and in cultured endothelium with qualitative expression appearing to be neither tissue- nor development-specific. Non-muscle isoform 2 is the dominant splice variant expressed in various tissues. The Telokin isoform, which binds calmodulin, has been found in a wide variety of adult and fetal tissues. MLCK is probably down-regulated by phosphorylation. The protein contains 1 fibronectin type III domain and 9 immunoglobulin-like C2-type domains.

Application Notes

Titration of the MLCK antibody may be required due to differences in protocols and secondary/substrate sensitivity.

Immunogen

A portion of amino acids 908-938 from the human protein was used as the immunogen for this MLCK antibody.

Storage

Aliquot the MLCK antibody and store frozen at -20oC or colder. Avoid repeated freeze-thaw cycles.

Cross
Bulk Quote Request Form
Name*:
Organization*:
Email*:
Phone Number*:
Catalog No.*:
Comments and Specifics(amount, formulation, etc.)*:
Validation code: Captchapackage Image


Can't read the image? click here to refresh.
    *required field

Your bulk quote request has been submitted successfully!

Please contact us if you have any questions.