• Tel: 858.663.9055
  • SeparatorEmail: info@nsjbio.com
  • Tel: 858.663.9055
  • Email: info@nsjbio.com
Home >> Antibodies >> MKRN2 Antibody

MKRN2 Antibody [clone 1556CT631.230.55.49] (F54488)

  Catalog No Formulation Size Price (USD)  
Image F54488-0.2ML In 1X PBS, pH 7.4, with 0.09% sodium azide 0.2 ml 429
Image
F54488-0.05ML In 1X PBS, pH 7.4, with 0.09% sodium azide 0.05 ml 199
Bulk quote request
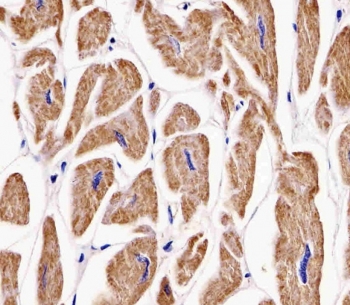
IHC testing of FFPE human heart tissue with MKRN2 antibody. HIER: steam section in pH6 citrate buffer for 20 min and allow to cool prior to staining.
Immunofluorescent staining of fixed and permeabilized human U-2 OS cells with MKRN2 antibody (green) and DAPI nuclear stain (blue).
Western blot testing of human 1) Jurkat and 2) K562 cell lysate with MKRN2 antibody. Predicted molecular weight ~47 kDa.
Flow cytometry testing of fixed and permeabilized human K562 cells with MKRN2 antibody; Blue=isotype control, Green= MKRN2 antibody.
Availability 1-3 business days
Species Reactivity Human
Format Purified
Clonality Monoclonal (mouse origin)
Isotype IgG1, kappa
Clone Name 1556CT631.230.55.49
Purity Protein G affinity
UniProt Q9H000
Applications Western Blot : 1:500-1:2000
Flow Cytometry : 1:25 (1x10e6 cells)
Immunohistochemistry (FFPE) : 1:25
Immunofluorescence : 1:25
Limitations This MKRN2 antibody is available for research use only.
Review this product on BioCompare and get a $20 Amazon gift card

Description

E3 ubiquitin ligase catalyzing the covalent attachment of ubiquitin moieties onto substrate proteins.

Application Notes

The stated application concentrations are suggested starting points. Titration of the MKRN2 antibody may be required due to differences in protocols and secondary/substrate sensitivity.

Immunogen

Recombinant human protein was used as the immunogen for the MKRN2 antibody.

Storage

Aliquot the MKRN2 antibody and store frozen at -20oC or colder. Avoid repeated freeze-thaw cycles.

Cross
Bulk Quote Request Form
Name*:
Organization*:
Email*:
Phone Number*:
Catalog No.*:
Comments and Specifics(amount, formulation, etc.)*:
Validation code: Captchapackage Image


Can't read the image? click here to refresh.
    *required field

Your bulk quote request has been submitted successfully!

Please contact us if you have any questions.