• Tel: 858.663.9055
  • SeparatorEmail: info@nsjbio.com
  • Tel: 858.663.9055
  • Email: info@nsjbio.com
Home >> Antibodies >> MKK7 Antibody / MEK7 / MAP2K7

MKK7 Antibody / MEK7 / MAP2K7 (R31800)

  Catalog No Formulation Size Price (USD)  
Image R31800 0.5mg/ml if reconstituted with 0.2ml sterile DI water 100 ug 439
Bulk quote request
Immunofluorescent staining of FFPE human PC-3 cells with MKK7 antibody (green) and DAPI nuclear stain (blue). HIER: steam section in pH6 citrate buffer for 20 min.
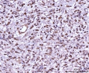
IHC testing of FFPE human testis cancer tissue with MKK7 antibody. HIER: Boil the paraffin sections in pH8 EDTA for 20 minutes and allow to cool prior to staining.
Western blot testing of 1) human HeLa, 2) monkey COS-7, 3) human Jurkat, 4) human Raji, 5) rat testis and 6) mouse testis tissue lysate with MKK7 antibody. Predicted molecular weight ~47 kDa.
Flow cytometry testing of human U-87 MG cells with MKK7 antibody at 1ug/million cells (blocked with goat sera); Red=cells alone, Green=isotype control, Blue= MKK7 antibody.
Availability 1-3 business days
Species Reactivity Human, Mouse, Rat
Format Antigen affinity purified
Clonality Polyclonal (rabbit origin)
Isotype Rabbit IgG
Purity Antigen affinity
Buffer Lyophilized from 1X PBS with 2.5% BSA and 0.025% sodium azide
UniProt O14733
Localization Cytoplasmic, nuclear
Applications Western Blot : 0.1-0.5ug/ml
Immunohistochemistry (FFPE) : 1-2ug/ml
Immunofluorescence (FFPE) : 5ug/ml
Flow Cytometry : 1-3ug/million cells
Limitations This MKK7 antibody is available for research use only.
Review this product on BioCompare and get a $20 Amazon gift card

Related Products

Description

Dual specificity protein kinase which acts as an essential component of the MAP kinase signal transduction pathway. Essential component of the stress-activated protein kinase/c-Jun N-terminal kinase (SAP/JNK) signaling pathway. With MAP2K4/MKK4, is the one of the only known kinase to directly activate the stress-activated protein kinase/c-Jun N-terminal kinases MAPK8/JNK1, MAPK9/JNK2 and MAPK10/JNK3. MAP2K4/MKK4 and MAP2K7/MKK7 both activate the JNKs by phosphorylation, but they differ in their preference for the phosphorylation site in the Thr-Pro-Tyr motif. MAP2K4/MKK4 shows preference for phosphorylation of the Tyr residue and MAP2K7/MKK7 for the Thr residue. The monophosphorylation of JNKs on the Thr residue is sufficient to increase JNK activity indicating that MAP2K7/MKK7 is important to trigger JNK activity, while the additional phosphorylation of the Tyr residue by MAP2K4/MKK4 ensures optimal JNK activation. Has a specific role in JNK signal transduction pathway activated by proinflammatory cytokines. The MKK/JNK signaling pathway is also involved in mitochondrial death signaling pathway, including the release cytochrome c, leading to apoptosis. [UniProt]

Application Notes

Optimal dilution of the MKK7 antibody should be determined by the researcher.

Immunogen

Amino acids AASSLEQKLSRLEAKLKQENREARRRIDLNLDISPQRPR of human MAP2K7 were used as the immunogen for the MKK7 antibody.

Storage

After reconstitution, the MKK7 antibody can be stored for up to one month at 4oC. For long-term, aliquot and store at -20oC. Avoid repeated freezing and thawing.

Cross
Bulk Quote Request Form
Name*:
Organization*:
Email*:
Phone Number*:
Catalog No.*:
Comments and Specifics(amount, formulation, etc.)*:
Validation code: Captchapackage Image


Can't read the image? click here to refresh.
    *required field

Your bulk quote request has been submitted successfully!

Please contact us if you have any questions.