• Tel: 858.663.9055
  • SeparatorEmail: info@nsjbio.com
  • Tel: 858.663.9055
  • Email: info@nsjbio.com
Home >> Antibodies >> Mitofusin 2 Antibody / MFN2

Mitofusin 2 Antibody / MFN2 [clone AOCA-13] (RQ4802)

  Catalog No Formulation Size Price (USD)  
Image RQ4802 Antibody in PBS with 0.02% sodium azide, 50% glycerol and 0.4-0.5mg/ml BSA 100 ul 439
Microvalidated Rab Mono Image
Bulk quote request
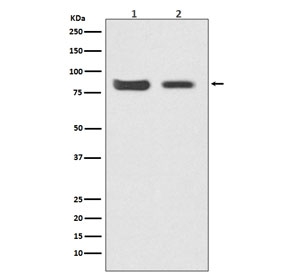
Western blot testing of 1) human HeLa and 2) mouse kidney lysate with Mitofusin 2 antibody. Predicted molecular weight ~86 kDa.
Availability 1-2 weeks
Species Reactivity Human, Mouse
Format Purified
Clonality Rabbit Monoclonal
Isotype Rabbit IgG
Clone Name AOCA-13
Purity Affinity purified
UniProt O95140
Applications Western Blot : 1:500-1:2000
Limitations This Mitofusin 2 antibody is available for research use only.
Review this product on BioCompare and get a $20 Amazon gift card

Related Products

  • Applications : WB
    Reactivity : Human, Mouse, Rat
  • Applications : WB, IHC, FACS, ELISA
    Reactivity : Human
    Pred. Reactivity : Mouse, Rat

Description

Mitofusin 2 is a mitochondrial outer membrane GTPase that mediates mitochondrial clustering and fusion. Mitochondria are highly dynamic organelles, and their morphology is determined by the equilibrium between mitochondrial fusion and fission events. Overexpression induces the formation of mitochondrial networks. Membrane clustering requires GTPase activity and may involve a major rearrangement of the coiled coil domains (Probable). Plays a central role in mitochondrial metabolism and may be associated with obesity and/or apoptosis processes. Plays an important role in the regulation of vascular smooth muscle cell proliferation. Involved in the clearance of damaged mitochondria via selective autophagy (mitophagy). Is required for PRKN recruitment to dysfunctional mitochondria. [UniProt]

Application Notes

Optimal dilution of the Mitofusin 2 antibody should be determined by the researcher.

Immunogen

A synthetic peptide specific to human Mitofusin 2 / MFN2 was used as the immunogen for the Mitofusin 2 antibody.

Storage

Store the Mitofusin 2 antibody at -20oC.

Cross
Bulk Quote Request Form
Name*:
Organization*:
Email*:
Phone Number*:
Catalog No.*:
Comments and Specifics(amount, formulation, etc.)*:
Validation code: Captchapackage Image


Can't read the image? click here to refresh.
    *required field

Your bulk quote request has been submitted successfully!

Please contact us if you have any questions.