• Tel: 858.663.9055
  • SeparatorEmail: info@nsjbio.com
  • Tel: 858.663.9055
  • Email: info@nsjbio.com
Home >> Antibodies >> MIEF1 Antibody / Mitochondrial dynamics protein MID51

MIEF1 Antibody / Mitochondrial dynamics protein MID51 (RQ6428)

  Catalog No Formulation Size Price (USD)  
Image RQ6428 0.5mg/ml if reconstituted with 0.2ml sterile DI water 100 ug 439
Bulk quote request
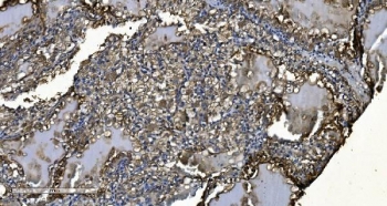
IHC staining of FFPE human renal clear cell carcinoma tissue with MIEF1 antibody. HIER: boil tissue sections in pH8 EDTA for 20 min and allow to cool before testing.
IHC staining of FFPE human rectal cancer tissue with MIEF1 antibody. HIER: boil tissue sections in pH8 EDTA for 20 min and allow to cool before testing.
Immunofluorescent staining of FFPE human U-2 OS cells with MIEF1 antibody (green) and DAPI nuclear stain (blue). HIER: steam section in pH6 citrate buffer for 20 min.
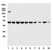
Western blot testing of human 1) HT1080, 2) Jurkat, 3) K562, 4) HL60, 5) HEK293, 6) U937, 7) HepG2, 8) rat heart, 9) rat kidney and 10) mouse kidney tissue lysate with MIEF1 antibody. Predicted molecular weight ~51 kDa.
Flow cytometry testing of human SiHa cells with MIEF1 antibody at 1ug/million cells (blocked with goat sera); Red=cells alone, Green=isotype control, Blue= MIEF1 antibody.
Availability 1-3 business days
Species Reactivity Human, Mouse, Rat
Format Purified
Clonality Polyclonal (rabbit origin)
Isotype Rabbit IgG
Purity Antigen affinity purified
Buffer Lyophilized from 1X PBS with 2% Trehalose
UniProt Q9NQG6
Localization Cytoplasmic (mitochondria)
Applications Western Blot : 0.5-1ug/ml
Immunohistochemistry (FFPE) : 2-5ug/ml
Immunofluorescence (FFPE) : 5ug/ml
Flow Cytometry : 1-3ug/million cells
Direct ELISA : 0.1-0.5ug/ml
Limitations This MIEF1 antibody is available for research use only.
Review this product on BioCompare and get a $20 Amazon gift card

Description

Mitochondrial dynamic protein MID51 (MID51) also known as mitochondrial elongation factor 1 (MIEF1) or Smith-Magenis syndrome chromosome region candidate gene 7 protein-like (SMCR7L) is a protein that in humans is encoded by the SMCR7L gene. The SMCR7L gene codes for a protein that has been called MiD51/MIEF1 and shown to regulate mitochondrial fission by interacting with the proteins Drp1 and FIS1.

Application Notes

Optimal dilution of the MIEF1 antibody should be determined by the researcher.

Immunogen

Recombinant human protein (amino acids S189-T463) was used as the immunogen for the MIEF1 antibody.

Storage

After reconstitution, the MIEF1 antibody can be stored for up to one month at 4oC. For long-term, aliquot and store at -20oC. Avoid repeated freezing and thawing.

Cross
Bulk Quote Request Form
Name*:
Organization*:
Email*:
Phone Number*:
Catalog No.*:
Comments and Specifics(amount, formulation, etc.)*:
Validation code: Captchapackage Image


Can't read the image? click here to refresh.
    *required field

Your bulk quote request has been submitted successfully!

Please contact us if you have any questions.