• Tel: 858.663.9055
  • SeparatorEmail: info@nsjbio.com
  • Tel: 858.663.9055
  • Email: info@nsjbio.com
Home >> Antibodies >> MID2 Antibody

MID2 Antibody (R35255)

  Catalog No Formulation Size Price (USD)  
Image R35255-100UG 0.5 mg/ml in 1X TBS, pH7.3, with 0.5% BSA (US sourced) and 0.02% sodium azide 100 ug 449
Bulk quote request
Western blot testing of mouse heart [A], rat heart [B], and rat kidney [C] lysates with MID2 antibody at 0.1ug/ml. Predicted molecular weight: ~80kDa.
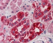
IHC staining of FFPE human kidney with MID2 antibody at 5ug/ml. HIER: steamed with pH6 citrate buffer, AP-staining.
Availability 1-3 business days
Species Reactivity Human, Mouse, Rat
Predicted Reactivity Cow, Dog, Pig
Format Antigen affinity purified
Clonality Polyclonal (goat origin)
Isotype Goat Ig
Purity Antigen affinity
Gene ID 11043
Applications Western Blot : 1-3ug/ml
Immunohistochemistry (FFPE) : 5-10ug/ml
ELISA (peptide) LOD : 1:32000
Limitations This MID2 antibody is available for research use only.
Review this product on BioCompare and get a $20 Amazon gift card

Related Products

  • Applications : WB, FACS
    Reactivity : Human, Mouse, Rat

Description

Additional name(s) for this target protein: Midline 2, Tripartite motif protein 1, TRIM1

Application Notes

Optimal dilution of the MID2 antibody should be determined by the researcher.

Immunogen

Amino acids QESPYVSGMKTCH were used as the immunogen for this MID2 antibody.

Storage

Aliquot and store the MID2 antibody at -20oC.

Cross
Bulk Quote Request Form
Name*:
Organization*:
Email*:
Phone Number*:
Catalog No.*:
Comments and Specifics(amount, formulation, etc.)*:
Validation code: Captchapackage Image


Can't read the image? click here to refresh.
    *required field

Your bulk quote request has been submitted successfully!

Please contact us if you have any questions.