• Tel: 858.663.9055
  • SeparatorEmail: info@nsjbio.com
  • Tel: 858.663.9055
  • Email: info@nsjbio.com
Home >> Antibodies >> MGMT Antibody

MGMT Antibody (R31679)

  Catalog No Formulation Size Price (USD)  
Image R31679 0.5mg/ml if reconstituted with 0.2ml sterile DI water 100 ug 439
Bulk quote request
Immunofluorescent staining of FFPE human MCF7 cells with MGMT antibody (red) and DAPI nuclear stain (blue). HIER: steam section in pH6 citrate buffer for 20 min.
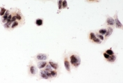
ICC staining of FFPE human MCF7 cells with MGMT antibody. HIER: boil tissue sections in pH6, 10mM citrate buffer, for 20 min and allow to cool before testing.
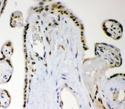
IHC-P: MGMT antibody testing of human placenta tissue. HIER: steam section in pH6 citrate buffer for 20 min.
Western blot testing of human 1) Jurkat and 2) MDA-MB-453 cell lysate with MGMT antibody. Predicted molecular weight: ~23 kDa.
Immunofluorescent staining of FFPE human MCF7 cells with MGMT antibody (green) and DAPI nuclear stain (blue). HIER: steam section in pH6 citrate buffer for 20 min.
Flow cytometry testing of human ThP-1 cells with MGMT antibody at 1ug/million cells (blocked with goat sera); Red=cells alone, Green=isotype control, Blue= MGMT antibody.
Western blot testing of human 1) Caco-2 and 2) Raji cell lysate with MGMT antibody. Predicted molecular weight: ~23 kDa.
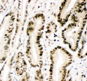
IHC staining of FFPE human colorectal cancer tissue with MGMT antibody. HIER: boil tissue sections in pH8 EDTA for 20 min and allow to cool before testing.
Availability 1-3 business days
Species Reactivity Human
Format Antigen affinity purified
Clonality Polyclonal (rabbit origin)
Isotype Rabbit IgG
Purity Antigen affinity
Buffer Lyophilized from 1X PBS with 2.5% BSA and 0.025% sodium azide
Gene ID 4255
Applications Western Blot : 0.5-1ug/ml
Immunohistochemistry (FFPE) : 2-5ug/ml
Immunocytochemistry : 1-2ug/ml
Immunofluorescence (FFPE) : 2-4ug/ml
Flow Cytometry : 1-3ug/million cells
Limitations This MGMT antibody is available for research use only.
Review this product on BioCompare and get a $20 Amazon gift card

Related Products

Description

O6-alkylguanine DNA alkyltransferase (also known as AGT, MGMT or AGAT) is a protein that in humans is encoded by the MGMT gene. This gene is crucial for genome stability. The protein repairs the naturally occurring mutagenic DNA lesion O6-methylguanine back to guanine and prevents mismatch and errors during DNA replication and transcription. It has been found that methylation of the MGMT promoter in the tumor was associated with longer survival.

Application Notes

The stated application concentrations are suggested starting amounts. Titration of the MGMT antibody may be required due to differences in protocols and secondary/substrate sensitivity.

Immunogen

Human partial recombinant protein (AA 2-207) was used as the immunogen for this MGMT antibody.

Storage

After reconstitution, the MGMT antibody can be stored for up to one month at 4oC. For long-term, aliquot and store at -20oC. Avoid repeated freezing and thawing.

Cross
Bulk Quote Request Form
Name*:
Organization*:
Email*:
Phone Number*:
Catalog No.*:
Comments and Specifics(amount, formulation, etc.)*:
Validation code: Captchapackage Image


Can't read the image? click here to refresh.
    *required field

Your bulk quote request has been submitted successfully!

Please contact us if you have any questions.