• Tel: 858.663.9055
  • SeparatorEmail: info@nsjbio.com
  • Tel: 858.663.9055
  • Email: info@nsjbio.com
Home >> Antibodies >> MGMT Antibody

MGMT Antibody [clone MGMT/8186R] (V4132)

  Catalog No Formulation Size Price (USD)  
Image V4132-100UG 0.2 mg/ml in 1X PBS with 0.1 mg/ml BSA (US sourced), 0.05% sodium azide 100 ug 539
Image
V4132-20UG 0.2 mg/ml in 1X PBS with 0.1 mg/ml BSA (US sourced), 0.05% sodium azide 20 ug 249
Image
V4132SAF-100UG 1 mg/ml in 1X PBS; BSA free, sodium azide free 100 ug 539
Bulk quote request
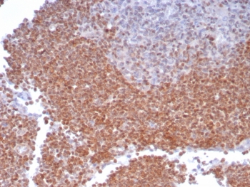
IHC staining of FFPE human lymph node tissue with MGMT antibody (clone MGMT/8186R). HIER: boil tissue sections in pH 9 10mM Tris with 1mM EDTA for 20 min and allow to cool before testing.
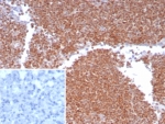
IHC staining of FFPE human lymph node tissue with MGMT antibody (clone MGMT/8186R). Inset: PBS used in place of primary Ab (secondary Ab negative control). HIER: boil tissue sections in pH 9 10mM Tris with 1mM EDTA for 20 min and allow to cool before testing.
SDS-PAGE analysis of purified, BSA-free MGMT antibody (clone MGMT/8186R) as confirmation of integrity and purity.
Availability 1-3 business days
Species Reactivity Human
Format Purified
Clonality Monoclonal (mouse origin)
Isotype Rabbit IgG, kappa
Clone Name MGMT/8186R
Purity Protein A/G affinity
UniProt P16455
Localization Nucleus
Applications Immunohistochemistry (FFPE) : 1-2ug/ml for 30 minutes at RT
Limitations This MGMT antibody is available for research use only.
Review this product on BioCompare and get a $20 Amazon gift card

Related Products

Description

Cancer chemotherapeutic alkylating agents (e.g. BCNU,) act by inducing formation of lethal cross-links at the O6- alkylguanine position in DNA. MGMT transfers alkyl adducts from the O6- position of guanine in DNA (prior to cross-link formation) to a cysteine residue in its own sequence, thereby restoring DNA to its intact state. This transfer inactivates the MGMT enzyme and is irreversible; hence the level of MGMT in a cell is directly proportional to the level of DNA damage it can tolerate. In normal tissues, MGMT acts as a suppressor of mutation and carcinogenesis. Tumors with high levels of MGMT are likely to be drug resistant.

Application Notes

Optimal dilution of the MGMT antibody should be determined by the researcher.

Immunogen

A recombinant partial protein (within amino acids 1-100) from the human protein was used as the immunogen for the MGMT antibody.

Storage

Aliquot the MGMT antibody and store frozen at -20oC or colder. Avoid repeated freeze-thaw cycles.

Cross
Bulk Quote Request Form
Name*:
Organization*:
Email*:
Phone Number*:
Catalog No.*:
Comments and Specifics(amount, formulation, etc.)*:
Validation code: Captchapackage Image


Can't read the image? click here to refresh.
    *required field

Your bulk quote request has been submitted successfully!

Please contact us if you have any questions.