• Tel: 858.663.9055
  • SeparatorEmail: info@nsjbio.com
  • Tel: 858.663.9055
  • Email: info@nsjbio.com
Home >> Antibodies >> MGMT Antibody

MGMT Antibody [clone 888CT22.2.4] (F52339)

  Catalog No Formulation Size Price (USD)  
Image F52339-0.4ML In 1X PBS, pH 7.4, with 0.09% sodium azide 0.4 ml 429
Image
F52339-0.08ML In 1X PBS, pH 7.4, with 0.09% sodium azide 0.08 ml 199
Bulk quote request
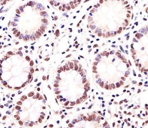
Immunohistochemical analysis of paraffin-embedded human small intestine using MGMT antibody at 1:25 dilution.
Fluorescent image of HeLa cells stained with MGMT antibody at 1:25 dilution. An Alexa Fluor 488-conjugated goat anti-mouse lgG was used as the secondary Ab (green). Cytoplasmic actin was counterstained with Alexa Fluor 555 conjugated with Phalloidin (red).
MGMT antibody western blot analysis in MCF-7 lysate
Availability 1-3 business days
Species Reactivity Human
Format Purified
Clonality Monoclonal (mouse origin)
Isotype Mouse IgG1
Clone Name 888CT22.2.4
Purity Purified
UniProt P16455
Applications IHC (Paraffin) : 1:25
Immunofluorescence : 1:25
Western Blot : 1:1000
Limitations This MGMT antibody is available for research use only.
Review this product on BioCompare and get a $20 Amazon gift card

Related Products

Description

Involved in the cellular defense against the biological effects of O6-methylguanine (O6-MeG) in DNA. Repairs alkylated guanine in DNA by stoichiometrically transferring the alkyl group at the O-6 position to a cysteine residue in the enzyme. This is a suicide reaction: the enzyme is irreversibly inactivated.

Application Notes

Titration of the MGMT antibody may be required due to differences in protocols and secondary/substrate sensitivity.

Immunogen

Purified His-tagged protein was used to produced this monoclonal MGMT antibody.

Storage

Aliquot the MGMT antibody and store frozen at -20oC or colder. Avoid repeated freeze-thaw cycles.

Cross
Bulk Quote Request Form
Name*:
Organization*:
Email*:
Phone Number*:
Catalog No.*:
Comments and Specifics(amount, formulation, etc.)*:
Validation code: Captchapackage Image


Can't read the image? click here to refresh.
    *required field

Your bulk quote request has been submitted successfully!

Please contact us if you have any questions.