• Tel: 858.663.9055
  • SeparatorEmail: info@nsjbio.com
  • Tel: 858.663.9055
  • Email: info@nsjbio.com
Home >> Antibodies >> mGluR1 Antibody / GRM1

mGluR1 Antibody / GRM1 (RQ5886)

  Catalog No Formulation Size Price (USD)  
Image RQ5886 0.5mg/ml if reconstituted with 0.2ml sterile DI water 100 ug 439
Bulk quote request
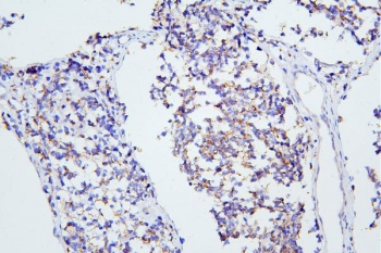
IHC staining of FFPE human glioma with mGluR1 antibody. HIER: boil tissue sections in pH8 EDTA for 20 min and allow to cool before testing.
Western blot testing of human 1) placenta, 2) HeLa, 3) A431, 4) A549, 5) K562, 6) rat brain and 7) mouse brain lysate with mGluR1 antibody. Predicted molecular weight ~132 kDa.
Flow cytometry testing of human A431 cells with mGluR1 antibody at 1ug/million cells (blocked with goat sera); Red=cells alone, Green=isotype control, Blue= mGluR1 antibody.
Flow cytometry testing of human U-2 OS cells with mGluR1 antibody at 1ug/million cells (blocked with goat sera); Red=cells alone, Green=isotype control, Blue= mGluR1 antibody.
Flow cytometry testing of mouse Neuro-2a cells with mGluR1 antibody at 1ug/million cells (blocked with goat sera); Red=cells alone, Green=isotype control, Blue= mGluR1 antibody.
Availability 1-3 business days
Species Reactivity Human, Mouse, Rat
Format Antigen affinity purified
Clonality Polyclonal (rabbit origin)
Isotype Rabbit IgG
Purity Affinity purified
Buffer Lyophilized from 1X PBS with 2% Trehalose and 0.025% sodium azide
UniProt Q13255
Applications Western Blot : 0.5-1ug/ml
Immunohistochemistry : 1-2ug/ml
Flow Cytometry : 1-3ug/million cells
Direct ELISA : 0.1-0.5ug/ml
Limitations This mGluR1 antibody is available for research use only.
Review this product on BioCompare and get a $20 Amazon gift card

Description

The GRM1 gene encodes a metabotropic glutamate receptor that functions by activating phospholipase C. L-glutamate is the major excitatory neurotransmitter in the central nervous system and activates both ionotropic and metabotropic glutamate receptors. Glutamatergic neurotransmission is involved in most aspects of normal brain function and can be perturbed in many neuropathologic conditions. The canonical alpha isoform of the encoded protein is a disulfide-linked homodimer whose activity is mediated by a G-protein-coupled phosphatidylinositol-calcium second messenger system. This gene may be associated with many disease states, including schizophrenia, bipolar disorder, depression, and breast cancer. Alternative splicing results in multiple transcript variants encoding different isoforms.

Application Notes

Optimal dilution of the mGluR1 antibody should be determined by the researcher.

Immunogen

Recombinant human protein (amino acids R25-E466) was used as the immunogen for the mGluR1 antibody.

Storage

After reconstitution, the mGluR1 antibody can be stored for up to one month at 4oC. For long-term, aliquot and store at -20oC. Avoid repeated freezing and thawing.

Cross
Bulk Quote Request Form
Name*:
Organization*:
Email*:
Phone Number*:
Catalog No.*:
Comments and Specifics(amount, formulation, etc.)*:
Validation code: Captchapackage Image


Can't read the image? click here to refresh.
    *required field

Your bulk quote request has been submitted successfully!

Please contact us if you have any questions.