• Tel: 858.663.9055
  • SeparatorEmail: info@nsjbio.com
  • Tel: 858.663.9055
  • Email: info@nsjbio.com
Home >> Antibodies >> MGAT3 Antibody

MGAT3 Antibody (RQ8376)

  Catalog No Formulation Size Price (USD)  
Image RQ8376 0.5mg/ml if reconstituted with 0.2ml sterile DI water 100 ug 439
Bulk quote request
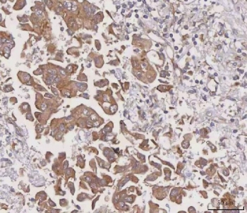
IHC staining of FFPE human liver cancer tissue with MGAT3 antibody. HIER: boil tissue sections in pH8 EDTA for 20 min and allow to cool before testing.
Western blot testing of human 1) Caco-2, 2) K562, 3) U-2 OS and 4) Jurkat cell lysate with MGAT3 antibody. Predicted molecular weight ~61 kDa.
Availability 1-3 business days
Species Reactivity Human
Format Antigen affinity purified
Clonality Polyclonal (rabbit origin)
Isotype Rabbit IgG
Purity Antigen affinity purified
Buffer Lyophilized from 1X PBS with 2% Trehalose
UniProt Q09327
Localization Cytoplasm (Golgi)
Applications Western Blot : 0.5-1ug/ml
Immunohistochemistry (FFPE) : 2-5ug/ml
Direct ELISA : 0.1-0.5ug/ml
Limitations This MGAT3 antibody is available for research use only.
Review this product on BioCompare and get a $20 Amazon gift card

Description

Beta-1,4-mannosyl-glycoprotein 4-beta-N-acetylglucosaminyltransferase is an enzyme that in humans is encoded by the MGAT3 gene. There are believed to be over 100 different glycosyltransferases involved in the synthesis of protein-bound and lipid-bound oligosaccharides. The enzyme encoded by this gene transfers a GlcNAc residue to the beta-linked mannose of the trimannosyl core of N-linked oligosaccharides and produces a bisecting GlcNAc. Multiple alternatively spliced variants, encoding the same protein, have been identified.

Application Notes

Optimal dilution of the MGAT3 antibody should be determined by the researcher.

Immunogen

An E.coli-derived human recombinant protein (D68-N437) was used as the immunogen for the MGAT3 antibody.

Storage

After reconstitution, the MGAT3 antibody can be stored for up to one month at 4oC. For long-term, aliquot and store at -20oC. Avoid repeated freezing and thawing.

Cross
Bulk Quote Request Form
Name*:
Organization*:
Email*:
Phone Number*:
Catalog No.*:
Comments and Specifics(amount, formulation, etc.)*:
Validation code: Captchapackage Image


Can't read the image? click here to refresh.
    *required field

Your bulk quote request has been submitted successfully!

Please contact us if you have any questions.