• Tel: 858.663.9055
  • SeparatorEmail: info@nsjbio.com
  • Tel: 858.663.9055
  • Email: info@nsjbio.com
Home >> Antibodies >> MGAT2 Antibody / Mannoside acetylglucosaminyltransferase 2

MGAT2 Antibody / Mannoside acetylglucosaminyltransferase 2 (RQ8339)

  Catalog No Formulation Size Price (USD)  
Image RQ8339 0.5mg/ml if reconstituted with 0.2ml sterile DI water 100 ug 439
Bulk quote request
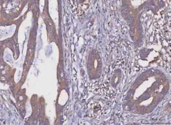
IHC staining of FFPE human rectal cancer tissue with MGAT2 antibody. HIER: boil tissue sections in pH8 EDTA for 20 min and allow to cool before testing.
IHC staining of FFPE human arge B-cell lymphoma tissue with MGAT2 antibody. HIER: boil tissue sections in pH8 EDTA for 20 min and allow to cool before testing.
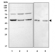
Western blot testing of 1) human SiHa, 2) human HepG2, 3) human RT4, 4) rat liver and 5) mouse liver tissue lysate with MGAT2 antibody. Predicted molecular weight ~52 kDa.
Flow cytometry testing of fixed and permeabilized human HepG2 cells with MGAT2 antibody at 1ug/million cells (blocked with goat sera); Red=cells alone, Green=isotype control, Blue= MGAT2 antibody.
Availability 1-3 business days
Species Reactivity Human, Mouse, Rat
Format Antigen affinity purified
Clonality Polyclonal (rabbit origin)
Isotype Rabbit IgG
Purity Antigen affinity purified
Buffer Lyophilized from 1X PBS with 2% Trehalose
UniProt Q10469
Localization Cytoplasm
Applications Western Blot : 0.5-1ug/ml
Immunohistochemistry (FFPE) : 2-5ug/ml
Flow Cytometry : 1-3ug/million cells
Direct ELISA : 0.1-0.5ug/ml
Limitations This MGAT2 antibody is available for research use only.
Review this product on BioCompare and get a $20 Amazon gift card

Description

Alpha-1,6-mannosyl-glycoprotein 2-beta-N-acetylglucosaminyltransferase is an enzyme that in humans is encoded by the MGAT2 gene. The product of this gene is a Golgi enzyme catalyzing an essential step in the conversion of oligomannose to complex N-glycans. The enzyme has the typical glycosyltransferase domains: a short N-terminal cytoplasmic domain, a hydrophobic non-cleavable signal-anchor domain, and a C-terminal catalytic domain. Mutations in this gene may lead to carbohydrate-deficient glycoprotein syndrome, type II. The coding region of this gene is intronless. Transcript variants with a spliced 5' UTR may exist, but their biological validity has not been determined.

Application Notes

Optimal dilution of the MGAT2 antibody should be determined by the researcher.

Immunogen

An E.coli-derived human recombinant protein (Q81-K427) was used as the immunogen for the MGAT2 antibody.

Storage

After reconstitution, the MGAT2 antibody can be stored for up to one month at 4oC. For long-term, aliquot and store at -20oC. Avoid repeated freezing and thawing.

Cross
Bulk Quote Request Form
Name*:
Organization*:
Email*:
Phone Number*:
Catalog No.*:
Comments and Specifics(amount, formulation, etc.)*:
Validation code: Captchapackage Image


Can't read the image? click here to refresh.
    *required field

Your bulk quote request has been submitted successfully!

Please contact us if you have any questions.