• Tel: 858.663.9055
  • SeparatorEmail: info@nsjbio.com
  • Tel: 858.663.9055
  • Email: info@nsjbio.com
Home >> Antibodies >> METAP2 Antibody / Methionine aminopeptidase 2

METAP2 Antibody / Methionine aminopeptidase 2 (RQ8305)

  Catalog No Formulation Size Price (USD)  
Image RQ8305 0.5mg/ml if reconstituted with 0.2ml sterile DI water 100 ug 439
Bulk quote request
Western blot testing of 1) rat pancreas, 2) rat testis, 3) rat brain, 4) rat PC-12, 5) mouse pancreas, 6) mouse testis, 7) mouse brain and 8) mouse L929 cell lysate with METAP2 antibody. Predicted molecular weight: 50-53 kDa but may be observed at higher molecular weights due to glycosylation.
Western blot testing of 1) human HepG2, 2) human MCF7, 3) human HeLa, 4) human Jurkat, 5) human DLD-1, 6) human HT1080, 7) human HL60 and 8) monkey COS-7 cell lysate with METAP2 antibody. Predicted molecular weight: 50-53 kDa but may be observed at higher molecular weights due to glycosylation.
IHC staining of FFPE human tonsil tissue with METAP2 antibody. HIER: boil tissue sections in pH8 EDTA for 20 min and allow to cool before testing.
IHC staining of FFPE human brain tissue with METAP2 antibody. HIER: boil tissue sections in pH8 EDTA for 20 min and allow to cool before testing.
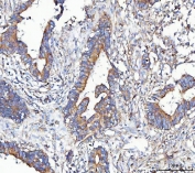
IHC staining of FFPE human colorectal adenocarcinoma tissue with METAP2 antibody. HIER: boil tissue sections in pH8 EDTA for 20 min and allow to cool before testing.
Availability 1-3 business days
Species Reactivity Human, Mouse, Rat, Monkey
Format Antigen affinity purified
Clonality Polyclonal (rabbit origin)
Isotype Rabbit IgG
Purity Antigen affinity purified
Buffer Lyophilized from 1X PBS with 2% Trehalose
UniProt P50579
Localization Cytoplasm
Applications Western Blot : 0.5-1ug/ml
Immunohistochemistry (FFPE) : 2-5ug/ml
ELISA : 0.1-0.5ug/ml
Limitations This METAP2 antibody is available for research use only.
Review this product on BioCompare and get a $20 Amazon gift card

Related Products

Description

Methionine aminopeptidase 2 is an enzyme that in humans is encoded by the METAP2 gene. The protein encoded by this gene is a member of the methionyl aminopeptidase family. The encoded protein functions both by protecting the alpha subunit of eukaryotic initiation factor 2 from inhibitory phosphorylation and by removing the amino-terminal methionine residue from nascent proteins. Increased expression of this gene is associated with various forms of cancer, and the anti-cancer drugs fumagillin and ovalicin inhibit the protein by irreversibly binding to its active site. Inhibitors of this gene have also been shown to be effective for the treatment of obesity. A pseudogene of this gene is located on chromosome 2. Several transcript variants encoding different isoforms have been found for this gene.

Application Notes

Optimal dilution of the METAP2 antibody should be determined by the researcher.

Immunogen

An E.coli-derived human recombinant protein (E201-R474) was used as the immunogen for the METAP2 antibody.

Storage

After reconstitution, the METAP2 antibody can be stored for up to one month at 4oC. For long-term, aliquot and store at -20oC. Avoid repeated freezing and thawing.

Cross
Bulk Quote Request Form
Name*:
Organization*:
Email*:
Phone Number*:
Catalog No.*:
Comments and Specifics(amount, formulation, etc.)*:
Validation code: Captchapackage Image


Can't read the image? click here to refresh.
    *required field

Your bulk quote request has been submitted successfully!

Please contact us if you have any questions.