• Tel: 858.663.9055
  • SeparatorEmail: info@nsjbio.com
  • Tel: 858.663.9055
  • Email: info@nsjbio.com
Home >> Antibodies >> MESP2 Antibody

MESP2 Antibody (RQ5829)

  Catalog No Formulation Size Price (USD)  
Image RQ5829 0.5mg/ml if reconstituted with 0.2ml sterile DI water 100 ug 439
Bulk quote request
Immunofluorescent staining of FFPE human A549 cells with MESP2 antibody (green) and DAPI nuclear stain (blue). HIER: steam section in pH6 citrate buffer for 20 min.
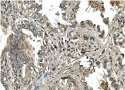
IHC staining of FFPE human lung cancer with MESP2 antibody. HIER: boil tissue sections in pH8 EDTA for 20 min and allow to cool before testing.
Flow cytometry testing of human K562 cells with MESP2 antibody at 1ug/million cells (blocked with goat sera); Red=cells alone, Green=isotype control, Blue= MESP2 antibody.
Flow cytometry testing of human SiHa cells with MESP2 antibody at 1ug/million cells (blocked with goat sera); Red=cells alone, Green=isotype control, Blue= MESP2 antibody.
Availability 1-3 business days
Species Reactivity Human
Format Antigen affinity purified
Clonality Polyclonal (rabbit origin)
Isotype Rabbit IgG
Purity Affinity purified
Buffer Lyophilized from 1X PBS with 2% Trehalose and 0.025% sodium azide
UniProt Q0VG99
Localization Nuclear
Applications Western Blot : 0.5-1ug/ml
Immunohistochemistry : 1-2ug/ml
Immunofluorescence : 2-4ug/ml
Flow Cytometry : 1-3ug/million cells
Direct ELISA : 0.1-0.5ug/ml
Limitations This MESP2 antibody is available for research use only.
Review this product on BioCompare and get a $20 Amazon gift card

Description

Mesoderm posterior protein 2 (MESP2), also known as class C basic helix-loop-helix protein 6 (bHLHc6), is a protein that in humans is encoded by the MESP2 gene. This gene encodes a member of the bHLH family of transcription factors and plays a key role in defining the rostrocaudal patterning of somites via interactions with multiple Notch signaling pathways. This gene is expressed in the anterior presomitic mesoderm and is downregulated immediately after the formation of segmented somites. This gene also plays a role in the formation of epithelial somitic mesoderm and cardiac mesoderm. Mutations in the MESP2 gene cause autosomal recessive spondylocostal dystosis 2 (SCD02).

Application Notes

Optimal dilution of the MESP2 antibody should be determined by the researcher.

Immunogen

Recombinant human protein (amino acids M1-Y397) was used as the immunogen for the MESP2 antibody.

Storage

After reconstitution, the MESP2 antibody can be stored for up to one month at 4oC. For long-term, aliquot and store at -20oC. Avoid repeated freezing and thawing.

Cross
Bulk Quote Request Form
Name*:
Organization*:
Email*:
Phone Number*:
Catalog No.*:
Comments and Specifics(amount, formulation, etc.)*:
Validation code: Captchapackage Image


Can't read the image? click here to refresh.
    *required field

Your bulk quote request has been submitted successfully!

Please contact us if you have any questions.