• Tel: 858.663.9055
  • SeparatorEmail: info@nsjbio.com
  • Tel: 858.663.9055
  • Email: info@nsjbio.com
Home >> Antibodies >> Merlin Antibody / NF2

Merlin Antibody / NF2 (RQ5540)

  Catalog No Formulation Size Price (USD)  
Image RQ5540 0.5mg/ml if reconstituted with 0.2ml sterile DI water 100 ug 439
Bulk quote request
Western blot testing of human 1) Caco-2, 2) HeLa, 3) HepG2, 4) ThP-1, 5) U-2 OS and 6) PC-3 cell lysate with Merlin antibody. Predicted molecular weight ~69 kDa.
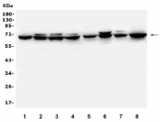
Western blot testing of 1) rat brain, 2) rat thymus, 3) rat liver, 4) rat kidney, 5) mouse brain, 6) mouse thymus, 7) mouse liver and 8) mouse NIH3T3 lysate with Merlin antibody. Predicted molecular weight ~69 kDa.
Immunofluorescent staining of FFPE human U-2 OS cells with Merlin antibody (green) and DAPI (blue). HIER: boil tissue sections in pH6, 10mM citrate buffer, for 20 min and allow to cool before testing.
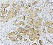
IHC staining of FFPE human breast cancer with Merlin antibody. HIER: boil tissue sections in pH6, 10mM citrate buffer, for 20 min and allow to cool before testing.
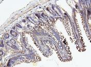
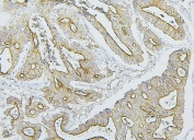
IHC staining of FFPE human intestinal cancer with Merlin antibody. HIER: boil tissue sections in pH6, 10mM citrate buffer, for 20 min and allow to cool before testing.
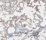
IHC staining of FFPE mouse lung with Merlin antibody. HIER: boil tissue sections in pH6, 10mM citrate buffer, for 20 min and allow to cool before testing.
IHC staining of FFPE rat testis with Merlin antibody. HIER: boil tissue sections in pH6, 10mM citrate buffer, for 20 min and allow to cool before testing.
Flow cytometry testing of human HL60 cells with Merlin antibody at 1ug/million cells (blocked with goat sera); Red=cells alone, Green=isotype control, Blue= Merlin antibody.
Flow cytometry testing of human A549 cells with Merlin antibody at 1ug/million cells (blocked with goat sera); Red=cells alone, Green=isotype control, Blue= Merlin antibody.
Availability 1-3 business days
Species Reactivity Human, Mouse, Rat
Format Antigen affinity purified
Clonality Polyclonal (rabbit origin)
Isotype Rabbit IgG
Purity Affinity purified
Buffer Lyophilized from 1X PBS with 2% Trehalose and 0.025% sodium azide
UniProt P35240
Localization Cytoplasmic, nuclear, plasma membrane
Applications Western Blot : 0.25-0.5ug/ml
Immunohistochemistry (FFPE) : 1-2ug/ml
Immunofluorescence : 2-4ug/ml
Flow Cytometry : 1-3ug/million cells
Direct ELISA : 0.1-0.5ug/ml
Limitations This Merlin antibody is available for research use only.
Review this product on BioCompare and get a $20 Amazon gift card

Description

Human merlin is coded by the gene NF2 on chromosome 22. It is mapped to 22q12.2. This gene encodes a protein that is similar to some members of the ERM (ezrin, radixin, moesin) family of proteins that are thought to link cytoskeletal components with proteins in the cell membrane. This gene product has been shown to interact with cell-surface proteins, proteins involved in cytoskeletal dynamics and proteins involved in regulating ion transport. This gene is expressed at high levels during embryonic development; in adults, significant expression is found in Schwann cells, meningeal cells, lens and nerve. Mutations in this gene are associated with neurofibromatosis type II which is characterized by nervous system and skin tumors and ocular abnormalities. Two predominant isoforms and a number of minor isoforms are produced by alternatively spliced transcripts.

Application Notes

Optimal dilution of the Merlin antibody should be determined by the researcher.

Immunogen

A human recombinant protein (amino acids K15-N565) was used as the immunogen for the Merlin antibody.

Storage

After reconstitution, the Merlin antibody can be stored for up to one month at 4oC. For long-term, aliquot and store at -20oC. Avoid repeated freezing and thawing.

Cross
Bulk Quote Request Form
Name*:
Organization*:
Email*:
Phone Number*:
Catalog No.*:
Comments and Specifics(amount, formulation, etc.)*:
Validation code: Captchapackage Image


Can't read the image? click here to refresh.
    *required field

Your bulk quote request has been submitted successfully!

Please contact us if you have any questions.