• Tel: 858.663.9055
  • SeparatorEmail: info@nsjbio.com
  • Tel: 858.663.9055
  • Email: info@nsjbio.com
Home >> Antibodies >> MEK2 Antibody / MAP2K2

MEK2 Antibody / MAP2K2 (RQ6653)

  Catalog No Formulation Size Price (USD)  
Image RQ6653 0.5mg/ml if reconstituted with 0.2ml sterile DI water 100 ug 439
Bulk quote request
Flow cytometry testing of rat RH35 cells with MEK2 antibody at 1ug/million cells (blocked with goat sera); Red=cells alone, Green=isotype control, Blue= MEK2 antibody.
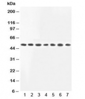
Western blot testing of 1) human 293T, 2) human HepG2, 3) human Jurkat, 4) rat brain, 5) mouse brain and 6) mouse lung tissue lysate with MEK2 antibody. Expected molecular weight: 45-50 kDa.
Availability 1-3 business days
Species Reactivity Human, Mouse, Rat
Format Antigen affinity purified
Clonality Polyclonal (rabbit origin)
Isotype Rabbit IgG
Purity Antigen affinity purified
Buffer Lyophilized from 1X PBS with 2% Trehalose
UniProt P36507
Applications Western Blot : 1-2ug/ml
Flow Cytometry : 1-3ug/million cells
Direct ELISA : 0.1-0.5ug/ml
Limitations This MEK2 antibody is available for research use only.
Review this product on BioCompare and get a $20 Amazon gift card

Related Products

  • Applications : WB, IF, FACS
    Reactivity : Human, Mouse, Rat
  • Applications : WB, IHC-P, IF, FACS
    Reactivity : Human, Mouse
  • Applications : WB
    Reactivity : Human, Mouse, Rat
  • Applications : WB, ELISA (peptide)
    Reactivity : Human
  • Applications : WB, IHC-P, IF, FACS, Direct ELISA
    Reactivity : Human, Mouse, Rat
  • Applications : IF, WB, IHC-P
    Reactivity : Human, Mouse
  • Applications : IHC-P, WB
    Reactivity : Human

Description

Dual specificity mitogen-activated protein kinase kinase 2 (MAP2K2), also called PRKMK2 or MEK2, is an enzyme that in humans is encoded by the MAP2K2 gene. The protein encoded by this gene is a dual specificity protein kinase that belongs to the MAP kinase kinase family. MAP2K2 is mapped to 19p13.3. This kinase is known to play a critical role in mitogen growth factor signal transduction, and the inhibition or degradation of this kinase is found to be involved in the pathogenesis of Yersinia and anthrax. Recombinant MEK2 and MEK1 both could activate human ERK1 in vitro, and they further characterized biochemically the 2 MAP2Ks. MAP2K2 has been shown to interact with MAPK3 and ARAF.

Application Notes

Optimal dilution of the MEK2 antibody should be determined by the researcher.

Immunogen

Recombinant human protein (amino acids M1-E45) was used as the immunogen for the MEK2 antibody.

Storage

After reconstitution, the MEK2 antibody can be stored for up to one month at 4oC. For long-term, aliquot and store at -20oC. Avoid repeated freezing and thawing.

Cross
Bulk Quote Request Form
Name*:
Organization*:
Email*:
Phone Number*:
Catalog No.*:
Comments and Specifics(amount, formulation, etc.)*:
Validation code: Captchapackage Image


Can't read the image? click here to refresh.
    *required field

Your bulk quote request has been submitted successfully!

Please contact us if you have any questions.