• Tel: 858.663.9055
  • SeparatorEmail: info@nsjbio.com
  • Tel: 858.663.9055
  • Email: info@nsjbio.com
Home >> Antibodies >> MEK1 Antibody

MEK1 Antibody (R30445)

  Catalog No Formulation Size Price (USD)  
Image R30445 0.5mg/ml if reconstituted with 0.2ml sterile DI water 100 ug 439
Bulk quote request
Western blot testing of MEK1 antibody and Lane 1: rat skeletal muscle; 2: rat kidney; 3: (h) CEM; 4: (h) COLO20 cell lysate. Predicted molecular weight: 43 kDa.
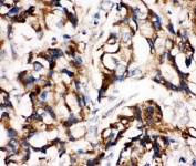
IHC-P: MEK1 antibody testing of human lung cancer tissue
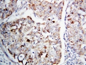
IHC-P: MEK1 antibody testing of human breast cancer tissue
ICC testing of MCF-7 cells with MEK1 antibody.
Availability 1-3 business days
Species Reactivity Human, Mouse, Rat
Format Antigen affinity purified
Clonality Polyclonal (rabbit origin)
Isotype Rabbit IgG
Purity Antigen affinity
Buffer Lyophilized from 1X PBS with 2.5% BSA and 0.025% sodium azide/thimerosal
UniProt Q02750
Applications Western Blot : 0.5-1ug/ml
IHC (FFPE) : 0.5-1ug/ml
Immunocytochemistry : 0.5-1ug/ml
Limitations This MEK1 antibody is available for research use only.
Review this product on BioCompare and get a $20 Amazon gift card

Related Products

  • Applications : IHC-P, WB
    Reactivity : Human, Mouse
  • Applications : IHC-P, WB
    Reactivity : Human, Mouse, Rat

Description

Dual specificity mitogen-activated protein kinase kinase 1 is an enzyme that in humans is encoded by the MAP2K1 gene. The protein encoded by this gene is a member of the dual specificity protein kinase family, which acts as a mitogen-activated protein(MAP) kinase kinase. MAP kinases, also known as extracellular signal-regulated kinases(ERKs), act as an integration point for multiple biochemical signals. MEK1 lies upstream of MAP kinases and stimulates the enzymatic activity of MAP kinases upon activation by a wide variety of extra- and intracellular signals. As an essential component of the MAP kinase signal transduction pathway, this kinase is involved in many cellular processes such as proliferation, differentiation, transcription regulation and development. Rampoldi et al.(1997) localized the MAP2K1 gene to 15q22.1-q22.33.

Application Notes

The stated application concentrations are suggested starting amounts. Titration of the MEK1 antibody may be required due to differences in protocols and secondary/substrate sensitivity.

Immunogen

An amino acid sequence from the C-terminus of human MEK1 (KQLMVHAFIKRSDAE) was used as the immunogen for this MEK1 antibody (100% homologous in human, mouse and rat).

Storage

After reconstitution, the MEK1 antibody can be stored for up to one month at 4oC. For long-term, aliquot and store at -20oC. Avoid repeated freezing and thawing.

Cross
Bulk Quote Request Form
Name*:
Organization*:
Email*:
Phone Number*:
Catalog No.*:
Comments and Specifics(amount, formulation, etc.)*:
Validation code: Captchapackage Image


Can't read the image? click here to refresh.
    *required field

Your bulk quote request has been submitted successfully!

Please contact us if you have any questions.