• Tel: 858.663.9055
  • SeparatorEmail: info@nsjbio.com
  • Tel: 858.663.9055
  • Email: info@nsjbio.com
Home >> Antibodies >> MEK1 Antibody / MAP2K1

MEK1 Antibody / MAP2K1 (F54685)

  Catalog No Formulation Size Price (USD)  
Image F54685-0.4ML In 1X PBS, pH 7.4, with 0.09% sodium azide 0.4 ml 429
Image
F54685-0.08ML In 1X PBS, pH 7.4, with 0.09% sodium azide 0.08 ml 199
Bulk quote request
Western blot testing of mouse cerebellum tissue lysate with MEK1 antibody. Predicted molecular weight ~43 kDa.
Western blot testing of human MDA-MB-435 cell lysate with MEK1 antibody. Predicted molecular weight ~43 kDa.
Western blot testing of 1) non-transfected and 2) transfected 293 cell lysate with MEK1 antibody. Predicted molecular weight ~43 kDa.
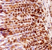
IHC testing of FFPE mouse stomach tissue with MEK1 antibody. HIER: steam section in pH6 citrate buffer for 20 min and allow to cool prior to staining.
Availability 1-3 business days
Species Reactivity Human, Mouse
Format Purified
Clonality Polyclonal (rabbit origin)
Isotype Rabbit Ig
Purity Antigen affinity purified
UniProt P31938
Localization Cytoplasmic, nuclear
Applications Immunohistochemistry (FFPE) : 1:25
Western Blot : 1:500-1:2000
Limitations This MEK1 antibody is available for research use only.
Review this product on BioCompare and get a $20 Amazon gift card

Related Products

Description

Map2k1 / Mek1 catalyzes the concomitant phosphorylation of a threonine and a tyrosine residue in a Thr-Glu-Tyr sequence located in MAP kinases. Activates ERK1 and ERK2 MAP kinases.

Application Notes

The stated application concentrations are suggested starting points. Titration of the MEK1 antibody may be required due to differences in protocols and secondary/substrate sensitivity.

Immunogen

A portion of amino acids 269-296 from the mouse protein was used as the immunogen for the MEK1 antibody.

Storage

Aliquot the MEK1 antibody and store frozen at -20oC or colder. Avoid repeated freeze-thaw cycles.

Cross
Bulk Quote Request Form
Name*:
Organization*:
Email*:
Phone Number*:
Catalog No.*:
Comments and Specifics(amount, formulation, etc.)*:
Validation code: Captchapackage Image


Can't read the image? click here to refresh.
    *required field

Your bulk quote request has been submitted successfully!

Please contact us if you have any questions.