• Tel: 858.663.9055
  • SeparatorEmail: info@nsjbio.com
  • Tel: 858.663.9055
  • Email: info@nsjbio.com
Home >> Antibodies >> MEF2D Antibody

MEF2D Antibody [clone PCRP-MEF2D-3A4] (V9704)

  Catalog No Formulation Size Price (USD)  
Image V9704-100UG 0.2 mg/ml in 1X PBS with 0.1 mg/ml BSA (US sourced), 0.05% sodium azide 100 ug 539
Image
V9704-20UG 0.2 mg/ml in 1X PBS with 0.1 mg/ml BSA (US sourced), 0.05% sodium azide 20 ug 249
Image
V9704SAF-100UG 1 mg/ml in 1X PBS; BSA free, sodium azide free 100 ug 539
Microvalidated
Bulk quote request
Immunofluorescent staining of PFA-fixed human HeLa cells using MEF2D antibody (green, clone PCRP-MEF2D-3A4) and phalloidin (red).
FACS staining of PFA-fixed human HeLa cells with MEF2D antibody (blue, clone PCRP-MEF2D-3A4) and isotype control (red).
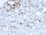
IHC staining of FFPE human rhabdomyosarcoma tissue with MEF2D antibody (clone PCRP-MEF2D-3A4). HIER: boil tissue sections in pH 9 10mM Tris with 1mM EDTA for 20 min and allow to cool before testing.
SDS-PAGE analysis of purified, BSA-free MEF2D antibody (clone PCRP-MEF2D-3A4) as confirmation of integrity and purity.
Analysis of HuProt(TM) microarray containing more than 19,000 full-length human proteins using MEF2D antibody (clone PCRP-MEF2D-3A4). These results demonstrate the foremost specificity of the PCRP-MEF2D-3A4 mAb. Z- and S- score: The Z-score represents the strength of a signal that an antibody (in combination with a fluorescently-tagged anti-IgG secondary Ab) produces when binding to a particular protein on the HuProt(TM) array. Z-scores are described in units of standard deviations (SD's) above the mean value of all signals generated on that array. If the targets on the HuProt(TM) are arranged in descending order of the Z-score, the S-score is the difference (also in units of SD's) between the Z-scores. The S-score therefore represents the relative target specificity of an Ab to its intended target.
Availability 1-3 business days
Species Reactivity Human
Format Purified
Clonality Monoclonal (mouse origin)
Isotype Mouse IgG2b
Clone Name PCRP-MEF2D-3A4
Purity Protein A/G affinity
UniProt Q14814
Localization Nucleus
Applications Flow Cytometry : 1-2ug/million cells
Immunofluorescence : 1-2ug/ml
Immunohistochemistry (FFPE) : 1-2ug/ml
Limitations This MEF2D antibody is available for research use only.
Review this product on BioCompare and get a $20 Amazon gift card

Related Products

  • Applications : WB, ELISA
    Reactivity : Human
  • Applications : WB, ELISA
    Reactivity : Human

Description

The myocyte enhancer factor-2 (MEF-2) family of transcription factors associate with co-repessors or co-activators to regulate development and function of T cells, neuronal cells and muscle cells. Four family members arise from alternatively spliced transcripts, termed MEF-2A, -2B, -2C and -2D. These members bind as homo- and heterodimers to the MEF-2 site in the promoter region of affected genes. Differential regulation in the expression of the four transcripts implies functional distinction for each duing embryogenesis and development. The process of differentiation from mesodermal precursor cells to myoblasts has led to the discovery of a variety of tissue-specific factors that regulate muscle gene expression. The myogenic basic helix-loop-helix proteins, including MyoD, myogenin, Myf-5 and MRF4, are one class of identified factors. A second family of DNA-binding regulatory proteins is the myocyte-specific enhancer factor-2 (MEF-2) family. Each of these proteins binds to the MEF-2 target DNA sequence present in the regulatory regions of many muscle-specific genes.

Application Notes

Optimal dilution of the MEF2D antibody should be determined by the researcher.

Immunogen

Recombinant full-length human MEF2D protein was used as the immunogen for the MEF2D antibody.

Storage

Aliquot the MEF2D antibody and store frozen at -20oC or colder. Avoid repeated freeze-thaw cycles.

Cross
Bulk Quote Request Form
Name*:
Organization*:
Email*:
Phone Number*:
Catalog No.*:
Comments and Specifics(amount, formulation, etc.)*:
Validation code: Captchapackage Image


Can't read the image? click here to refresh.
    *required field

Your bulk quote request has been submitted successfully!

Please contact us if you have any questions.