• Tel: 858.663.9055
  • SeparatorEmail: info@nsjbio.com
  • Tel: 858.663.9055
  • Email: info@nsjbio.com
Home >> Antibodies >> MED15 Antibody

MED15 Antibody (R32948)

  Catalog No Formulation Size Price (USD)  
Image R32948 0.5mg/ml if reconstituted with 0.2ml sterile DI water 100 ug 439
Bulk quote request
Western blot testing of human 1) U-87MG, 2) U-2 OS, 3) HeLa, 4) 22RV1, 5) K562, 6) rat liver and 7) mouse thymus lysate with MED15 antibody at 0.5ug/ml. Predicted molecular weight ~87 kDa.
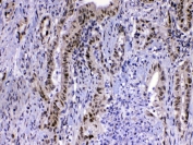
IHC testing of FFPE human colon cancer tissue with MED15 antibody at 1ug/ml. Required HIER: steam section in pH6 citrate buffer for 20 min and allow to cool prior to testing.
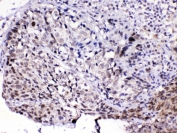
IHC testing of FFPE human lung cancer tissue with MED15 antibody at 1ug/ml. Required HIER: steam section in pH6 citrate buffer for 20 min and allow to cool prior to testing.
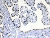
IHC testing of FFPE human placental tissue with MED15 antibody at 1ug/ml. Required HIER: steam section in pH6 citrate buffer for 20 min and allow to cool prior to testing.
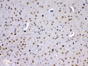
IHC testing of FFPE mouse brain tissue with MED15 antibody at 1ug/ml. Required HIER: steam section in pH6 citrate buffer for 20 min and allow to cool prior to testing.
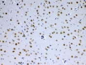
IHC testing of FFPE rat brain tissue with MED15 antibody at 1ug/ml. Required HIER: steam section in pH6 citrate buffer for 20 min and allow to cool prior to testing.
Immunofluorescent staining of human U-2 OS cells with MED15 antibody (red) and DAPI nuclear stain (blue).
Flow cytometry testing of human U-2 OS cells with MED15 antibody at 1ug/million cells (blocked with goat sera); Red=cells alone, Green=isotype control, Blue= MED15 antibody.
Western blot testing of human 1) 293T, 2) K562 and 3) HeLa cell lysate with MED15 antibody at 0.5ug/ml. Predicted molecular weight ~87 kDa.
Availability 1-3 business days
Species Reactivity Human, Mouse, Rat
Format Antigen affinity purified
Clonality Polyclonal (rabbit origin)
Isotype Rabbit IgG
Purity Antigen affinity
Buffer Lyophilized from 1X PBS with 2% Trehalose and 0.025% sodium azide
UniProt Q96RN5
Localization Nuclear, cytoplasmic
Applications Western Blot : 0.5-1ug/ml
Immunohistochemistry (FFPE) : 1-2ug/ml
Immunofluorescence : 2-4ug/ml
Flow Cytometry : 1-3ug/million cells
Direct ELISA (recombinant Human Protein) : 0.1-0.5ug/ml
Limitations This MED15 antibody is available for research use only.
Review this product on BioCompare and get a $20 Amazon gift card

Related Products

  • Applications : WB, ELISA (peptide)
    Reactivity : Human
    Pred. Reactivity : Mouse

Description

Mediator of RNA polymerase II transcription subunit 15, also known as Gal11, Spt13 in yeast and PCQAP, ARC105, or TIG-1 in humans is a protein encoded by the MED15 gene. The protein encoded by this gene is a subunit of the multiprotein complexes PC2 and ARC/DRIP and may function as a transcriptional coactivator in RNA polymerase II transcription. This gene contains stretches of trinucleotide repeats and is located in the chromosome 22 region which is deleted in DiGeorge syndrome.

Application Notes

Optimal dilution of the MED15 antibody should be determined by the researcher.

Immunogen

A recombinant human protein corresponding to amino acids M1-A285 was used as the immunogen for the MED15 antibody.

Storage

After reconstitution, the MED15 antibody can be stored for up to one month at 4oC. For long-term, aliquot and store at -20oC. Avoid repeated freezing and thawing.

Cross
Bulk Quote Request Form
Name*:
Organization*:
Email*:
Phone Number*:
Catalog No.*:
Comments and Specifics(amount, formulation, etc.)*:
Validation code: Captchapackage Image


Can't read the image? click here to refresh.
    *required field

Your bulk quote request has been submitted successfully!

Please contact us if you have any questions.