• Tel: 858.663.9055
  • SeparatorEmail: info@nsjbio.com
  • Tel: 858.663.9055
  • Email: info@nsjbio.com
Home >> Antibodies >> MDR15 Antibody / CXCR5 / BLR1

MDR15 Antibody / CXCR5 / BLR1 (RQ7162)

  Catalog No Formulation Size Price (USD)  
Image RQ7162 0.5mg/ml if reconstituted with 0.2ml sterile DI water 100 ug 439
Bulk quote request
Flow cytometry testing of human HEL cells with MDR15 antibody at 1ug/million cells (blocked with goat sera); Red=cells alone, Green=isotype control, Blue= MDR15 antibody.
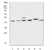
Western blot testing of 1) human Raji, 2) human MOLT4, 3) human HeLa, 4) rat brain, 5) mouse brain and 6) mouse lung tissue lysate with MDR15 antibody. Predicted molecular weight ~43 kDa.
Availability 1-3 business days
Species Reactivity Human, Mouse, Rat
Format Antigen affinity purified
Clonality Polyclonal (rabbit origin)
Isotype Rabbit IgG
Purity Antigen affinity purified
Buffer Lyophilized from 1X PBS with 2% Trehalose
UniProt P32302
Applications Western Blot : 0.5-1ug/ml
Flow Cytometry : 1-3ug/million cells
Direct ELISA : 0.1-0.5ug/ml
Limitations This MDR15 antibody is available for research use only.
Review this product on BioCompare and get a $20 Amazon gift card

Related Products

Description

CXCR5 (Chemokine CXC Motif Receptor 5), also known as BLR1 (Burkitt lymphoma receptor 1) and MDR15 (Monocyte derived receptor 15), is a G protein-coupled seven transmembrane receptor for chemokine CXCL13(also known as BLC) and belongs to the CXC chemokine receptor family. In humans, the CXC-R5 protein is encoded by the CXCR5 gene. The gene plays an essential role in B cell migration. Reif et al.(2002) concluded that their findings defined the mechanism of B-cell relocalization in response to antigen, and established that cell position in vivo can be determined by the balance of responsiveness to chemoattractants made in separate but adjacent zones. Chan et al.(2003) investigated the expression of chemokines and chemokine receptors in eyes with primary intraocular B-cell lymphoma(PIOL).

Application Notes

Optimal dilution of the MDR15 antibody should be determined by the researcher.

Immunogen

Recombinant human protein (amino acids A181-S358) was used as the immunogen for the MDR15 antibody.

Storage

After reconstitution, the MDR15 antibody can be stored for up to one month at 4oC. For long-term, aliquot and store at -20oC. Avoid repeated freezing and thawing.

Cross
Bulk Quote Request Form
Name*:
Organization*:
Email*:
Phone Number*:
Catalog No.*:
Comments and Specifics(amount, formulation, etc.)*:
Validation code: Captchapackage Image


Can't read the image? click here to refresh.
    *required field

Your bulk quote request has been submitted successfully!

Please contact us if you have any questions.