• Tel: 858.663.9055
  • SeparatorEmail: info@nsjbio.com
  • Tel: 858.663.9055
  • Email: info@nsjbio.com
Home >> Antibodies >> MDH2 Antibody

MDH2 Antibody (R36467)

  Catalog No Formulation Size Price (USD)  
Image R36467-100UG 0.5 mg/ml in 1X TBS, pH7.3, with 0.5% BSA (US sourced) and 0.02% sodium azide 100 ug 449
Bulk quote request
Western blot testing of 1) human HeLa, 2) human HepG2 and 3) mouse NIH3T3 lysate with MDH2 antibody at 0.1ug/ml. Predicted molecular weight ~35 kDa.
Western blot testing of heart lysate from 1) human, 2) mouse, 3) rat and 4) pig with MDH2 antibody at 0.01ug/ml. Predicted molecular weight ~35 kDa.
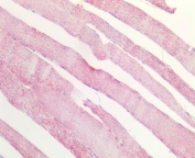
IHC staining of FFPE human skeletal muscle tissue with MDH2 antibody at 5ug/ml. Required HIER: steamed antigen retrieval with pH6 citrate buffer; AP-staining.
Availability 1-3 business days
Species Reactivity Human, Mouse, Rat, Pig
Format Antigen affinity purified
Clonality Polyclonal (goat origin)
Isotype Goat Ig
Purity Antigen affinity
UniProt P40926
Gene ID 4191
Applications Western Blot : 0.01-0.1ug/ml
Immunohistochemistry (FFPE) : 5ug/ml
ELISA (peptide) LOD : 1:8000
Limitations This MDH2 antibody is available for research use only.
Review this product on BioCompare and get a $20 Amazon gift card

Related Products

Description

Additional name(s) for this target protein: Malate dehydrogenase 2

Application Notes

Optimal dilution of the MDH2 antibody should be determined by the researcher.

Immunogen

Amino acids TRDDLFNTNAT were used as the immunogen for this MDH2 antibody.

Storage

Aliquot and store the MDH2 antibody at -20oC.

Cross
Bulk Quote Request Form
Name*:
Organization*:
Email*:
Phone Number*:
Catalog No.*:
Comments and Specifics(amount, formulation, etc.)*:
Validation code: Captchapackage Image


Can't read the image? click here to refresh.
    *required field

Your bulk quote request has been submitted successfully!

Please contact us if you have any questions.