• Tel: 858.663.9055
  • SeparatorEmail: info@nsjbio.com
  • Tel: 858.663.9055
  • Email: info@nsjbio.com
Home >> Antibodies >> Mcp2 Antibody / Ccl8

Mcp2 Antibody / Ccl8 (RQ4545)

  Catalog No Formulation Size Price (USD)  
Image RQ4545 0.5mg/ml if reconstituted with 0.2ml sterile DI water 100 ug 439
Bulk quote request
IHC staining of FFPE mouse spleen with Mcp2 antibody at 1ug/ml. HIER: boil tissue sections in pH6, 10mM citrate buffer, for 10-20 min followed by cooling at RT for 20 min.
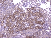
IHC staining of FFPE mouse kidney with Mcp2 antibody at 1ug/ml. HIER: boil tissue sections in pH6, 10mM citrate buffer, for 10-20 min followed by cooling at RT for 20 min.
IHC staining of FFPE mouse small intestine with Mcp2 antibody at 1ug/ml. HIER: boil tissue sections in pH6, 10mM citrate buffer, for 10-20 min followed by cooling at RT for 20 min.
IHC staining of FFPE rat kidney with Mcp2 antibody at 1ug/ml. HIER: boil tissue sections in pH6, 10mM citrate buffer, for 10-20 min followed by cooling at RT for 20 min.
Availability 1-3 business days
Species Reactivity Mouse, Rat
Format Antigen affinity purified
Clonality Polyclonal (rabbit origin)
Isotype Rabbit IgG
Purity Antigen affinity purified
Buffer Lyophilized from 1X PBS with 2% Trehalose and 0.025% sodium azide
UniProt Q9Z121
Localization Secreted
Applications IHC (FFPE) : 1-2ug/ml
ELISA (Capture) : 1-5ug/ml (recombinant mouse protein)
Limitations This Mcp2 antibody is available for research use only.
Review this product on BioCompare and get a $20 Amazon gift card

Related Products

Description

CCL8, also known as monocyte chemoattractant protein 2 (MCP2), is a protein that in humans is encoded by the CCL8 gene. It is a small cytokine belonging to the CC chemokine family. The CCL8 protein is produced as a precursor containing 109 amino acids, which is cleaved to produce mature CCL8 containing 75 amino acids. The gene for CCL8 is encoded by 3 exons and is located within a large cluster of CC chemokines on chromosome 17q11.2 in humans. MCP-2 is chemotactic for and activates many different immune cells, including mast cells, eosinophils and basophils, (that are implicated in allergic responses), and monocytes, T cells, and NK cells that are involved in the inflammatory response. CCL8 elicits its effects by binding to several different cell surface receptors called chemokine receptors. These receptors include CCR1, CCR2B, CCR3 and CCR5.

Application Notes

Optimal dilution of the Mcp2 antibody should be determined by the researcher.

Immunogen

Amino acids G24-P97 from the mouse protein were used as the immunogen for the Mcp2 antibody.

Storage

After reconstitution, the Mcp2 antibody can be stored for up to one month at 4oC. For long-term, aliquot and store at -20oC. Avoid repeated freezing and thawing.

Cross
Bulk Quote Request Form
Name*:
Organization*:
Email*:
Phone Number*:
Catalog No.*:
Comments and Specifics(amount, formulation, etc.)*:
Validation code: Captchapackage Image


Can't read the image? click here to refresh.
    *required field

Your bulk quote request has been submitted successfully!

Please contact us if you have any questions.