• Tel: 858.663.9055
  • SeparatorEmail: info@nsjbio.com
  • Tel: 858.663.9055
  • Email: info@nsjbio.com
Home >> Antibodies >> MCM6 Antibody

MCM6 Antibody (R30862)

  Catalog No Formulation Size Price (USD)  
Image R30862 0.5mg/ml if reconstituted with 0.2ml sterile DI water 100 ug 439
Bulk quote request
Western blot testing of MCM6 antibody and Lane 1: U87; 2: COLO320; 3: HeLa; 4: MCF-7; 5: Jurkat cell lysate. Expected molecular weight: 92-105 kDa.
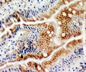
IHC-P: MCM6 antibody testing of human intestinal cancer tissue. HIER: steamed with pH6 citrate buffer.
IHC-P: MCM6 antibody testing of rat brain tissue. HIER: steamed with pH6 citrate buffer.
ICC staining of human HeLa cells with MCM6 antibody.
IHC staining of frozen human placenta tissue with MCM6 antibody.
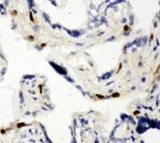
IHC staining of FFPE rat intestine with MCM6 antibody. HIER: boil tissue sections in pH8 EDTA for 20 min and allow to cool before testing.
Immunofluorescent staining of FFPE human A431 cells with MCM6 antibody (green) and DAPI nuclear stain (blue). HIER: steam section in pH6 citrate buffer for 20 min.
Western blot testing of mouse 1) small intestine and 2) spleen lysate with MCM6 antibody. Expected molecular weight: 92-105 kDa.
Flow cytometry testing of human SiHa cells with MCM6 antibody at 1ug/million cells (blocked with goat sera); Red=cells alone, Green=isotype control, Blue= MCM6 antibody.
Availability 1-3 business days
Species Reactivity Human, Mouse, Rat
Format Antigen affinity purified
Clonality Polyclonal (rabbit origin)
Isotype Rabbit IgG
Purity Antigen affinity
Buffer Lyophilized from 1X PBS with 2.5% BSA and 0.025% sodium azide/thimerosal
UniProt Q14566
Localization Nuclear
Applications Western Blot : 0.5-1ug/ml
Immunohistochemistry (FFPE) : 0.5-1ug/ml
Immunohistochemistry (Frozen) : 0.5-1ug/ml
Immunocytochemistry : 0.5-1ug/ml
Immunofluorescence : 2-4ug/ml
Flow Cytometry : 1-3ug/million cells
Limitations This MCM6 antibody is available for research use only.
Review this product on BioCompare and get a $20 Amazon gift card

Related Products

  • Applications : IHC-P, WB
    Reactivity : Human
    Microvalidated
  • Applications : IHC-P, WB
    Reactivity : Human
    Microvalidated
  • Applications : WB, IHC-P, IF, FACS
    Reactivity : Human
  • Applications : WB, IHC-P, IF, FACS
    Reactivity : Human, Mouse, Rat
  • Applications : WB, IHC-P, IF, FACS
    Reactivity : Human, Mouse, Rat
  • Applications : WB, IHC, ELISA
    Reactivity : Human
    Pred. Reactivity : Bovine
  • Applications : WB, IHC-P, IF, FACS, Direct ELISA
    Reactivity : Human, Mouse, Rat

Description

Minichromosome maintenance, s. pombe, homolog of, 6 is a protein that in humans is encoded by the MCM6 gene. It is one of the highly conserved mini-chromosome maintenance proteins (MCM) that are essential for the initiation of eukaryotic genome replication. The MCM genes were originally identified in yeast defective in minichromosome maintenance and have since been shown to play roles in the progression of the cell cycle; many are cell division control genes. MCM6 has recently been shown to interact strongly Cdt1 at defined residues by mutating these target residues. Wei et al. observed lack of Cdt1 recruitment of MCM2-7 to the pre-RC. An approximately 200-kb region surrounding the C/T(-13910) polymorphism in MCM6 intron 13 functioned as an enhancer of the lactase gene promoter in intestinal cell culture.

Application Notes

The stated application concentrations are suggested starting amounts. Titration of the MCM6 antibody may be required due to differences in protocols and secondary/substrate sensitivity.

Immunogen

An amino acid sequence from the middle region of human MCM6 (ESEDFIVEQYKHLRQRD) was used as the immunogen for this MCM6 antibody.

Storage

After reconstitution, the MCM6 antibody can be stored for up to one month at 4oC. For long-term, aliquot and store at -20oC. Avoid repeated freezing and thawing.

Cross
Bulk Quote Request Form
Name*:
Organization*:
Email*:
Phone Number*:
Catalog No.*:
Comments and Specifics(amount, formulation, etc.)*:
Validation code: Captchapackage Image


Can't read the image? click here to refresh.
    *required field

Your bulk quote request has been submitted successfully!

Please contact us if you have any questions.