• Tel: 858.663.9055
  • SeparatorEmail: info@nsjbio.com
  • Tel: 858.663.9055
  • Email: info@nsjbio.com
Home >> Antibodies >> MCM6 Antibody

MCM6 Antibody [clone MCM6/3000] (V7945)

  Catalog No Formulation Size Price (USD)  
Image V7945-100UG 0.2 mg/ml in 1X PBS with 0.1 mg/ml BSA (US sourced) and 0.05% sodium azide 100 ug 539
Image
V7945-20UG 0.2 mg/ml in 1X PBS with 0.1 mg/ml BSA (US sourced) and 0.05% sodium azide 20 ug 249
Image
V7945SAF-100UG 1 mg/ml in 1X PBS; BSA free, sodium azide free 100 ug 539
Microvalidated
Bulk quote request
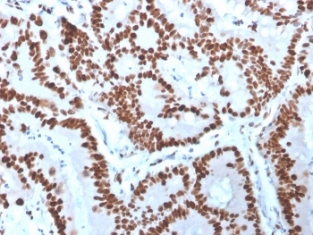
IHC staining of FFPE human colon carcinoma with MCM6 antibody. HIER: boil tissue sections in pH 9 10mM Tris with 1mM EDTA for 20 min and allow to cool before testing.
Analysis of HuProt(TM) microarray containing more than 19,000 full-length human proteins using MCM6 antibody (clone MCM6/3000). These results demonstrate the foremost specificity of the MCM6/3000 mAb. Z- and S- score: The Z-score represents the strength of a signal that an antibody (in combination with a fluorescently-tagged anti-IgG secondary Ab) produces when binding to a particular protein on the HuProt(TM) array. Z-scores are described in units of standard deviations (SD's) above the mean value of all signals generated on that array. If the targets on the HuProt(TM) are arranged in descending order of the Z-score, the S-score is the difference (also in units of SD's) between the Z-scores. The S-score therefore represents the relative target specificity of an Ab to its intended target.
SDS-PAGE analysis of purified, BSA-free MCM6 antibody as confirmation of integrity and purity.
Western blot testing of human A431 cell lysate with MCM6 antibody. Expected molecular weight: 92-105 kDa.
Availability 1-3 business days
Species Reactivity Human
Format Purified
Clonality Monoclonal (mouse origin)
Isotype Mouse IgG2b, kappa
Clone Name MCM6/3000
Purity Protein G affinity chromatography
UniProt Q14566
Localization Nuclear
Applications Immunohistochemistry (FFPE) : 1-2ug/ml
Western Blot : 2-4ug/ml
Limitations This MCM6 antibody is available for research use only.
Review this product on BioCompare and get a $20 Amazon gift card

Related Products

  • Applications : IHC-P, WB
    Reactivity : Human
    Microvalidated
  • Applications : WB, IHC-P, IF, FACS
    Reactivity : Human
  • Applications : WB, IHC-P, IF, FACS
    Reactivity : Human, Mouse, Rat
  • Applications : WB, IHC-P, IF, FACS
    Reactivity : Human, Mouse, Rat
  • Applications : WB, IHC-P, IHC-F, ICC, IF, FACS
    Reactivity : Human, Mouse, Rat
  • Applications : WB, IHC, ELISA
    Reactivity : Human
    Pred. Reactivity : Bovine
  • Applications : WB, IHC-P, IF, FACS, Direct ELISA
    Reactivity : Human, Mouse, Rat

Description

The mini-chromosome maintenance (MCM) family of proteins, including MCM2, MCM3, MCM6 (Cdc21), MCM5 (Cdc46), MCM6 (Mis5) and MCM7 (Cdc47), are regulators of DNA replication that act to ensure replication occurs only once in the cell cycle. Expression of MCM proteins increases during cell growth, peaking at G1/S phase. The MCM proteins each contain an ATP-binding motif, which is predicted to mediate ATP-dependent opening of double-stranded DNA. MCM proteins are regulated by E2F transcription factors, which induce MCM expression, and by protein kinases, which interact with MCM proteins to maintain the post-replicative state of the cell. MCM2/MCM6 complexes function as substrates for Cdc2/cyclin B in vitro.

Application Notes

Optimal dilution of the MCM6 antibody should be determined by the researcher.

Immunogen

A recombinant human partial protein (amino acids 228-368) was used as the immunogen for this MCM6 antibody.

Storage

Store the MCM6 antibody at 2-8oC (with azide) or aliquot and store at -20oC or colder (without azide).

Cross
Bulk Quote Request Form
Name*:
Organization*:
Email*:
Phone Number*:
Catalog No.*:
Comments and Specifics(amount, formulation, etc.)*:
Validation code: Captchapackage Image


Can't read the image? click here to refresh.
    *required field

Your bulk quote request has been submitted successfully!

Please contact us if you have any questions.