• Tel: 858.663.9055
  • SeparatorEmail: info@nsjbio.com
  • Tel: 858.663.9055
  • Email: info@nsjbio.com
Home >> Antibodies >> MCM6 Antibody

MCM6 Antibody (F44121)

  Catalog No Formulation Size Price (USD)  
Image F44121-0.4ML In 1X PBS, pH 7.4, with 0.09% sodium azide 0.4 ml 429
Image
F44121-0.08ML In 1X PBS, pH 7.4, with 0.09% sodium azide 0.08 ml 199
Bulk quote request
MCM6 antibody western blot analysis in 293 lysate. Expected molecular weight: 92-105 kDa.
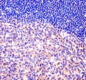
MCM6 antibody immunohistochemistry analysis in formalin fixed and paraffin embedded human tonsil tissue.
Availability 1-3 business days
Species Reactivity Human
Predicted Reactivity Bovine
Format Antigen affinity purified
Clonality Polyclonal (rabbit origin)
Isotype Rabbit Ig
Purity Antigen affinity
UniProt Q14566
Applications Western Blot : 1:1000
IHC (Paraffin) : 1:10-1:50
Limitations This MCM6 antibody is available for research use only.
Review this product on BioCompare and get a $20 Amazon gift card

Related Products

  • Applications : IHC-P, WB
    Reactivity : Human
    Microvalidated
  • Applications : IHC-P, WB
    Reactivity : Human
    Microvalidated
  • Applications : WB, IHC-P, IF, FACS
    Reactivity : Human
  • Applications : WB, IHC-P, IF, FACS
    Reactivity : Human, Mouse, Rat
  • Applications : WB, IHC-P, IF, FACS
    Reactivity : Human, Mouse, Rat
  • Applications : WB, IHC-P, IHC-F, ICC, IF, FACS
    Reactivity : Human, Mouse, Rat
  • Applications : WB, IHC-P, IF, FACS, Direct ELISA
    Reactivity : Human, Mouse, Rat

Description

MCM6 one of the highly conserved mini-chromosome maintenance proteins (MCM) that are essential for the initiation of eukaryotic genome replication.

Application Notes

Titration of the MCM6 antibody may be required due to differences in protocols and secondary/substrate sensitivity.

Immunogen

A portion of amino acids 80-109 from the human protein was used as the immunogen for this MCM6 antibody.

Storage

Aliquot the MCM6 antibody and store frozen at -20oC or colder. Avoid repeated freeze-thaw cycles.

Cross
Bulk Quote Request Form
Name*:
Organization*:
Email*:
Phone Number*:
Catalog No.*:
Comments and Specifics(amount, formulation, etc.)*:
Validation code: Captchapackage Image


Can't read the image? click here to refresh.
    *required field

Your bulk quote request has been submitted successfully!

Please contact us if you have any questions.