• Tel: 858.663.9055
  • SeparatorEmail: info@nsjbio.com
  • Tel: 858.663.9055
  • Email: info@nsjbio.com
Home >> Antibodies >> MCM6 Antibody

MCM6 Antibody [clone 3F13C4] (RQ6738)

  Catalog No Formulation Size Price (USD)  
Image RQ6738 0.5mg/ml if reconstituted with 0.2ml sterile DI water 100 ug 439
Bulk quote request
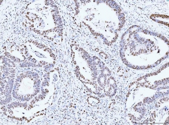
IHC staining of FFPE human rectal moderately differentiate adenocarcinoma tissue with MCM6 antibody. HIER: boil tissue sections in pH8 EDTA for 20 min and allow to cool before testing.
IHC staining of FFPE human metaplasia of squamous cells of the renal pelvis tissue with MCM6 antibody. HIER: boil tissue sections in pH8 EDTA for 20 min and allow to cool before testing.
IHC staining of FFPE human breast cancer tissue with MCM6 antibody. HIER: boil tissue sections in pH8 EDTA for 20 min and allow to cool before testing.
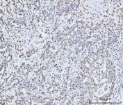
IHC staining of FFPE human Hodgkin's lymphoma tissue with MCM6 antibody. HIER: boil tissue sections in pH8 EDTA for 20 min and allow to cool before testing.
IHC staining of FFPE human lung cancer tissue with MCM6 antibody. HIER: boil tissue sections in pH8 EDTA for 20 min and allow to cool before testing.
IHC staining of FFPE mouse testis tissue with MCM6 antibody. HIER: boil tissue sections in pH8 EDTA for 20 min and allow to cool before testing.
IHC staining of FFPE rat testis tissue with MCM6 antibody. HIER: boil tissue sections in pH8 EDTA for 20 min and allow to cool before testing.
Immunofluorescent staining of FFPE human Caco-2 cells with MCM6 antibody (green) and DAPI nuclear stain (blue). HIER: steam section in pH6 citrate buffer for 20 min.
Western blot testing of 1) human HeLa, 2) human Jurkat, 3) human 293T, 4) rat RH35 and 5) mouse NIH 3T3 cell lysate with MCM6 antibody. Expected molecular weight: 92-105 kDa.
Flow cytometry testing of human HL60 cells with MCM6 antibody at 1ug/million cells (blocked with goat sera); Red=cells alone, Green=isotype control, Blue= MCM6 antibody.
Availability 1-3 business days
Species Reactivity Human, Mouse, Rat
Format Purified
Clonality Monoclonal (mouse origin)
Isotype Mouse IgG1
Clone Name 3F13C4
Purity Affinity purified
Buffer Lyophilized from 1X PBS with 2% Trehalose
UniProt Q14566
Applications Western Blot : 1-2ug/ml
Immunohistochemistry (FFPE) : 2-5ug/ml
Immunofluorescence (FFPE) : 5ug/ml
Flow Cytometry : 1-3ug/million cells
Limitations This MCM6 antibody is available for research use only.
Review this product on BioCompare and get a $20 Amazon gift card

Related Products

  • Applications : IHC-P, WB
    Reactivity : Human
    Microvalidated
  • Applications : IHC-P, WB
    Reactivity : Human
    Microvalidated
  • Applications : WB, IHC-P, IF, FACS
    Reactivity : Human
  • Applications : WB, IHC-P, IF, FACS
    Reactivity : Human, Mouse, Rat
  • Applications : WB, IHC-P, IHC-F, ICC, IF, FACS
    Reactivity : Human, Mouse, Rat
  • Applications : WB, IHC, ELISA
    Reactivity : Human
    Pred. Reactivity : Bovine
  • Applications : WB, IHC-P, IF, FACS, Direct ELISA
    Reactivity : Human, Mouse, Rat

Description

MCM6 (Minichromosome maintenance, s. pombe, homolog of, 6) is a protein that in humans is encoded by the MCM6 gene. MCM6 is one of the highly conserved mini-chromosome maintenance proteins (MCM) that are essential for the initiation of eukaryotic genome replication. The MCM genes were originally identified in yeast defective in minichromosome maintenance and have since been shown to play roles in the progression of the cell cycle; many are cell division control genes. The MCM6 gene is mapped on 2q21.3. Mcm 6 has recently been shown to interact strongly Cdt1 at defined residues, by mutating these target residues Wei et al. observed lack of Cdt1 recruitment of Mcm2-7 to the pre-RC. An approximately 200-kb region surrounding the C/T(-13910) polymorphism in MCM6 intron 13 functioned as an enhancer of the lactase gene promoter in intestinal cell culture.

Application Notes

Optimal dilution of the MCM6 antibody should be determined by the researcher.

Immunogen

Recombinant human protein (amino acids Q14-D821) was used as the immunogen for the MCM6 antibody.

Storage

After reconstitution, the MCM6 antibody can be stored for up to one month at 4oC. For long-term, aliquot and store at -20oC. Avoid repeated freezing and thawing.

Cross
Bulk Quote Request Form
Name*:
Organization*:
Email*:
Phone Number*:
Catalog No.*:
Comments and Specifics(amount, formulation, etc.)*:
Validation code: Captchapackage Image


Can't read the image? click here to refresh.
    *required field

Your bulk quote request has been submitted successfully!

Please contact us if you have any questions.